Результаты лечения пациентов
До
После
Всё на 6-ти (All-on-6) на верхней челюсти с балочной фиксацией (пациент иногородний)
Клинический случай: пациент из другого города. За один приезд — установка 6 имплантов Dentium (Южная Корея) и временный протез. Через полгода — металлокерамика на балке. Координатор уложил лечение в командировочные сроки.
До
После
Всё на 6-ти (All‑on‑6) на верхней челюсти: восстановление полного зубного ряда на 6 имплантатах
Клинический случай: полное отсутствие зубов на верхней челюсти. По протоколу Всё на 6-ти (All‑on‑6) установлено 6 имплантатов с немедленной нагрузкой временным протезом. Постоянный протез из диоксида циркония. Результат — несъёмная, эстетичная, долговечная улыбка.
До
После
Всё на 4-х (All‑on‑4) на нижней челюсти: восстановление полного зубного ряда на 4 имплантах с постоянным циркониевым протезом
Клинический случай: полное восстановление нижней челюсти по протоколу All‑on‑4. Установлено 4 имплантата, постоянный протез из диоксида циркония. Результат — несъёмная, эстетичная, долговечная улыбка без съёмных элементов.
До
После
Восстановление верхней челюсти по протоколу Всё на шести (All‑on‑6)
Клинический случай: полное восстановление верхней челюсти по протоколу Всё на шести (All‑on‑6). Установлено 6 имплантатов Anyone (Южная Корея). Временный протез — на второй день. Результат — надёжная, эстетичная улыбка с равномерным распределением нагрузки.
До
После
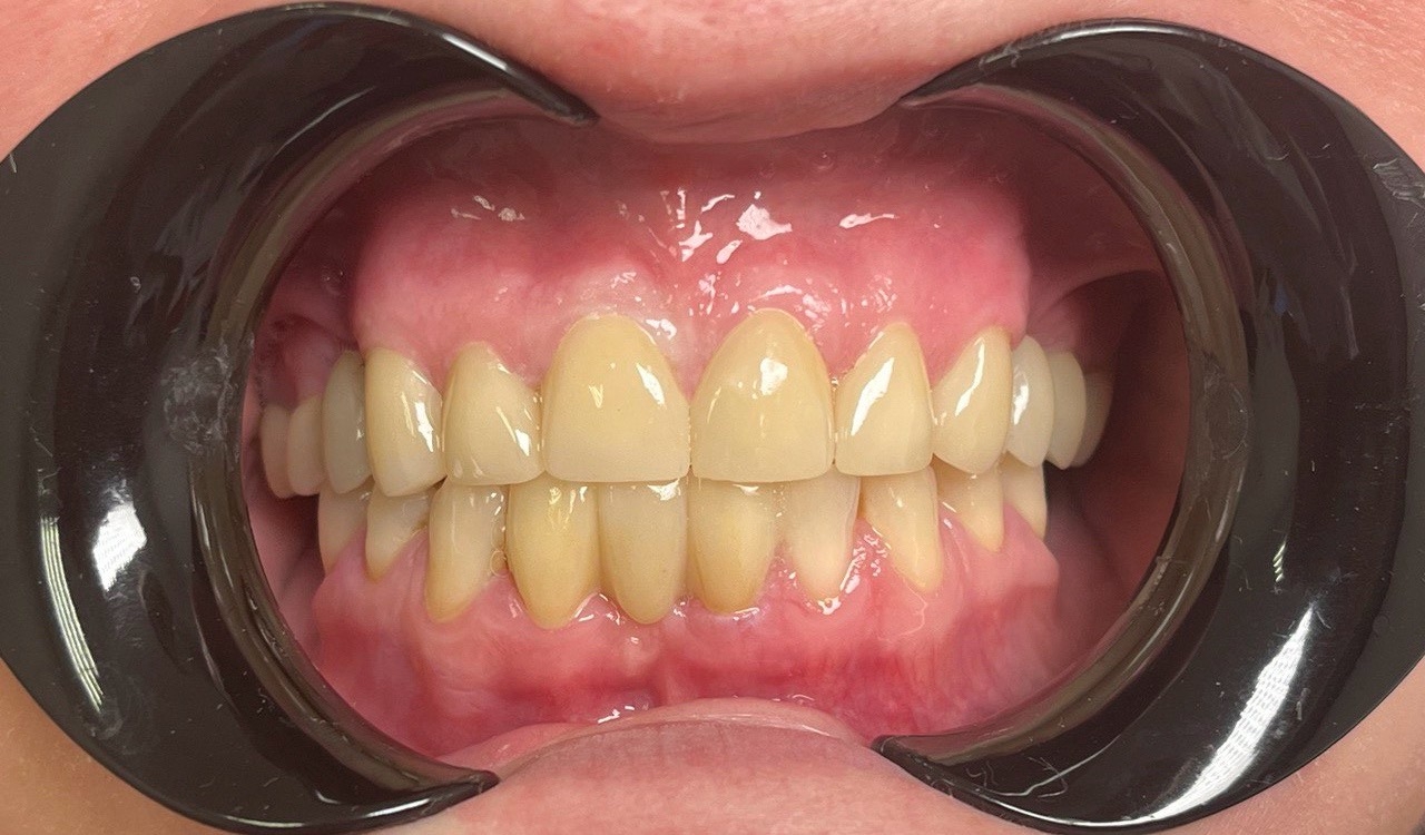
Протезирование передних зубов верхней челюсти на имплантах: восстановление
зубов 2.1 и 2.2
Клинический случай: отсутствие двух передних зубов (2.1 и 2.2). Установлены имплантаты, изготовлены коронки из диоксида циркония. Результат — естественная, гармоничная улыбка, неотличимая от своих зубов.
До
После
«Всё на шести» (All-on-6) на верхней челюсти: восстановление полного зубного ряда за два дня
Клинический случай: полное отсутствие зубов на верхней челюсти. По протоколу «Всё на шести» (All-on-6) установлены 6 имплантатов, на второй день зафиксирован временный протез из ПММА. Результат — красивая улыбка без длительного ожидания.
До
После
Нижняя челюсть на 4 имплантах (All-on-4): удаление несостоятельных зубов
и восстановление полного зубного ряда
за один день
Клинический случай: полное восстановление нижней челюсти
по протоколу All‑on‑4. Удалены несостоятельные зубы, установлены 4 имплантата и временный мост в день операции. Стабильность, эстетика, быстрый результат.
До
После
Восстановление верхней челюсти
на 4 имплантатах: удаление всех зубов
после 15 лет металлокерамики
Через 15 лет после металлокерамического протезирования зубы пациента под коронками стали несостоятельными. Выполнено удаление всех зубов верхней челюсти, одномоментная установка
4 имплантатов Dentium, временный акриловый протез и постоянное протезирование.
До
После
Несъёмное протезирование верхней челюсти
на 4 имплантатах (All‑on‑4):
завершённый кейс с обучением уходу
Полное восстановление верхней челюсти на 4 имплантатах
по протоколу All‑on‑4. Пациенту передан ирригатор
с насадкой для ухода за протезом —
обязательное условие долгой службы конструкции.
До
После
Имплантация нижней челюсти
на 6 имплантатах (All‑on‑6)
Мужчина годами не мог жевать твёрдую пищу и стеснялся улыбаться. Мы установили 6 имплантатов и временный несъёмный протез за один день. Результат —
новая улыбка и уверенность.
До
После
Восстановление передних зубов верхней челюсти циркониевыми коронками: возвращение естественной улыбки
Клинический случай: пациент стеснялся улыбаться из-за потемневших и разрушенных передних зубов. Стоматология «Забота» в Тюмени провела эстетическое восстановление зоны улыбки циркониевыми коронками. Честные фото «до» и «после», история преображения.
До
После
Закрытие трем на передних зубах нижней челюсти циркониевыми коронками: восстановление эстетики и гармонии улыбки
Клинический случай: пациент обратился с жалобами на широкие промежутки (тремы) между передними зубами нижней челюсти. Выполнено протезирование циркониевыми коронками — тремы устранены, улыбка стала гармоничной, естественной.
До
После
Виниры в зоне улыбки на верхней и нижней челюсти: тотальное эстетическое преображение
Клинический случай: пациентка обратилась за тотальным преображением улыбки. Установлены виниры в зоне улыбки на верхней и нижней челюсти (от клыка до клыка). Результат — идеальная форма, цвет, естественность.
До
После
Протезирование жевательных зубов 1-го и 4-го сегментов циркониевым мостовидным протезом
Клинический случай: отсутствие жевательных зубов в 1-м и 4-м сегментах. Изготовлен циркониевый мостовидный протез. Результат — восстановление жевательной функции, комфорт
и долговечность.
До
После
Восстановление фронтальной группы зубов циркониевыми коронками: возвращение естественной красоты улыбки
Клинический случай: пациентка обратилась с жалобами на некрасивые, разрушенные передние зубы. Выполнено восстановление фронтальной группы коронками из диоксида циркония. Результат — естественная, гармоничная улыбка.
До
После
Заменили старые «железные» коронки на зубах 1.2 и 1.4 на красивые циркониевые — теперь улыбка своя
Реальная история: у пациента были старые металлические коронки на передних зубах — видны «железные» края, синева у десны. Мы заменили их на циркониевые. Теперь зубы выглядят как свои.
До
После
Протезирование съёмными протезами верхней
и нижней челюсти при сохранении только двух клыков на нижней челюсти
Клинический случай: на нижней челюсти осталось только 2 клыка. Изготовлены полный съёмный протез на верхнюю челюсть и частичный съёмный протез на нижнюю с опорой на клыки (кламмеры). Жевательная функция и эстетика восстановлены.
До
После
Восстановление двух жевательных зубов циркониевыми коронками при сильном разрушении и травме слизистой
Клинический случай: два жевательных зуба сильно разрушены, острые края травмируют щеку и слизистую, жевание затруднительно. Выполнено восстановление циркониевыми коронками. Результат — комфорт и полноценная функция.
До
После
Восстановление зуба 4.6 коронкой из диоксида циркония при разрушении более 50%
Клинический случай: зуб 4.6 разрушен более чем наполовину. Повторяющиеся сколы, выпадение пломб. Восстановление коронкой из диоксида циркония — надёжное и эстетичное
решение на долгие годы.
До
После
Протезирование при атрофии костной ткани: циркониевый мост с искусственной десной (костная пластика и имплантация невозможны)
Клинический случай: выраженная атрофия кости, костная пластика невозможна, имплантация противопоказана. Изготовлен циркониевый мост с искусственной десной. Эстетика и функция восстановлены.
До
После
Протезирование при частичной адентии
в зоне улыбки: восстановление
циркониевыми коронками и мостами
Пациент с отсутствием зубов, сколами, тремами, диастемами
и патологической стираемостью. Проведено восстановление зубного ряда циркониевыми коронками
и мостовидными протезами
До
После
Протезирование верхней челюсти полным съёмным пластиночным протезом при полной адентии: эконом‑решение вместо имплантации
Пациент с полной адентией верхней челюсти.
Имплантация "Всё на четырёх" (All-on-4) оказалась невозможна. Изготовлен полный съёмный пластиночный протез за неделю. Доступное решение для пенсионеров.
До
После
Эстетическая реставрация сколотого переднего зуба 1.1 у ребёнка после падения с самоката
Клинический случай: ребёнок упал с самоката, отколол половину переднего зуба 1.1. За один визит восстановили композитом, подобрали цвет и прозрачность. Зуб выглядит как свой, а ребёнок не боится стоматологов.
До
После
Лечение кариеса жевательного зуба 4.6: сохранение пульпы и восстановление анатомии светополимером
Клинический случай: пациентка обратилась с болями от сладкого, холодного и жёсткой пищи. Глубокий кариес зуба 4.6. Проведено щадящее лечение с сохранением пульпы, восстановление светополимером. Зуб сохранён, функция восстановлена.
До
После
Реставрация зуба в зоне улыбки после выпадения старой пломбы: лечение глубокого кариеса и эстетическое восстановление
Клинический случай: пациентка пришла с выпавшей старой пломбой в руке. Под ней обнаружен глубокий кариес. Проведено эндодонтическое лечение и эстетическая композитная реставрация. Результат — зуб как новый, в гармонии с улыбкой.
До
После
Эстетическая реставрация переднего зуба после травмы: восстановление верхнего центрального резца
Клинический случай: пациент много лет назад сломал часть верхнего центрального резца в драке. Выполнена эстетическая композитная реставрация с подбором материала по плотности и прозрачности. Результат — зуб неотличим от соседних, пациент улыбается без стеснения.
До
После
Экстренная эстетическая реставрация
сколотого переднего зуба за один визит
Клинический случай: пациентка сколола передний зуб перед новогодними праздниками. Предыдущая реставрация отпала через пару дней. За один визит восстановили зуб композитным материалом — идеально под цвет и форму. Результат — отличные праздничные фото без «дырки».
До
После
Эстетическая реставрация зуба 2.1: восстановление переднего зуба за 40 минут композитным материалом
Клинический случай: пациент много лет ходил со сколом переднего зуба 2.1. За 40 минут выполнили эстетическую реставрацию современным композитным материалом. Результат — зуб «как заводской, настоящий». Без обточки, за один визит.
До
После
Спасение новогодней улыбки: эстетическая реставрация переднего зуба за один визит
Клинический случай: в канун Нового года пациент обратился с кариесом на переднем зубе. После удаления поражённых тканей образовался значительный дефект. Выполнена реставрация со стекловолоконным штифтом. Результат — естественная, красивая улыбка к празднику.
До
После
Вампирские клыки на Хэллоуин: как мы за один визит сделали девушке зубы мечты для косплея
Реальная история: девушка пришла к нам не лечить зубы, а сделать клыки как у вампира для косплея. За один визит мы нарастили их композитным материалом. Результат — идеальный образ.
До
После
Закрытие диастемы реставрационным материалом: эстетическая коррекция щели между передними зубами за один визит
Клинический случай: диастема (щель) между центральными резцами. Выполнено закрытие реставрационным композитным материалом без обточки зубов. Результат — ровный зубной ряд
за один визит.
До
После
Отбеливание зубов по системе Beyond: осветление с тона B4 до A2
Клинический случай: пациент обратился с выраженным потемнением эмали (цвет B4). Проведено кабинетное отбеливание по системе Beyond. Результат — холодный белый оттенок A2. Осветление на несколько тонов за один сеанс без повреждения эмали.
До
После
Хирургическая коррекция зенитов зубов 11 и 21: восстановление симметрии десневого контура за одну неделю
Клинический случай: пациентка обратилась с асимметрией десневого контура центральных верхних резцов (зубы 11 и 21). Проведена хирургическая коррекция зенитов — уровни десны выравнены, зубы обрели симметрию.
До
После
Лечение гингивита после брекетов: устранение кровоточивости и подбор домашней гигиены
Клинический случай: пациентка после брекетов обратилась с кровоточивостью дёсен (в том числе в покое), рецессией, отёчной болезненной уздечкой нижней губы, патологическим прикусом. Проведена профессиональная гигиена, наложен бандаж, подобрана уходовая линейка. Через 2 недели — положительная динамика.
До
После
Закрытие рецессии десны: хирургическое лечение оголения корня зуба
Клинический случай: пациент обратился с жалобами на оголение корня зуба (зуб «стал длиннее»), дискомфорт от холодного
и горячего, эстетический дефект. Проведена лоскутная операция
с перемещением тканей. Результат — корень закрыт, чувствительность устранена.
До
После
Комплексная профессиональная гигиена полости рта у взрослых пациентов: удаление камня, налёта, восстановление здоровья дёсен
Клинические случаи: пациенты обращаются с жалобами на налёт, неприятный запах и кровоточивость дёсен. Проведена комплексная гигиена: ультразвук, Air Flow, полировка, фторгель. Результат — чистые зубы, здоровые дёсны, свежее дыхание.
До
После
Отбеливание зубов системой ZOOM: осветление на 9 тонов (C1 → A1)
Клинический случай: пациентка обратилась за профессиональным отбеливанием. Проведена комплексная гигиена, санация кариеса, затем — процедура ZOOM. Результат: осветление с C1 до A1
(9 тонов по шкале Вита). Безопасно, за один сеанс.
До
После
Профессиональная гигиена полости рта при обильном плотном налёте и зубном камне: клинический случай с пациентом, боящимся стоматологов
Клинический случай: пациент никогда не делал профессиональную чистку из-за страха стоматологов. Обильный налёт, зубной камень, кровоточивость дёсен при пальпации, неприятный запах. После бережной гигиены — результат и благодарность пациента.
До
После
Профессиональная гигиена полости рта: удаление зубного камня и налёта за одно посещение
Клинический случай: пациент обратился с жалобами на неприятный запах, потемнение эмали и чувствительность зубов. Проведена профессиональная гигиена (ультразвук + Air Flow + полировка + фторгель). Результат — чистые, светлые зубы и свежее дыхание.
До
После
Отбеливание зубов ZOOM: клинический случай
с переходом от C2 к B2 за один сеанс
Реальный клинический случай: исходный цвет зубов C2,
после отбеливания ZOOM — B2. Процедура проведена
после профессиональной гигиены и терапевтического лечения. Результат за одно посещение.
Истории улыбок наших пациентов
Послушайте, что говорят люди, которые уже прошли лечение и забыли о страхах и боли
Нас выбирают и рекомендуют
Убедитесь в этом сами на независимых интернет-площадках!
Наши награды
Эксперты и пациенты подтвердили: «Забота» — это про качество
Запишитесь
на консультацию
Забота на Арктической
Тюмень
ул. Арктическая 7
Забота на Фармана Салманова
Тюмень
ул. Фармана Салманова 26
Будни 09:00-20:00
Выходные 09:00-18:00
