Logo

Тюмень
ул. Арктическая 7/10
ул. Фармана Салманова 26

+7 (3452) 99-22-72
Будни 09:00 - 20:00
Выходные 09:00 - 18:00

Версия для
слабовидящих

  • Главная
  • О нас
    • О клинике
    • Новости
    • СМИ о нас
  • Команда
  • Услуги и цены
    • Цены
    • Имплантация зубов
    • Протезирование зубов
    • Исправление прикуса
    • Лечение кариеса
    • Удаление зубов
    • Лечение дёсен
  • Пациентам
    • Акции
    • Отзывы
    • Результаты лечения
    • Лечение по ДМС
    • Документы и правовая информация
  • Контакты
Logo
+7 (3452) 99-22-72
Будни 09:00 - 20:00
Выходные 09:00 - 18:00

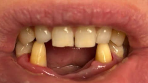
Атрофия костной ткани: как циркониевый мост с искусственной десной заменил имплантацию

До
До
После
После
ИМЕЮТСЯ ПРОТИВОПОКАЗАНИЯ, НЕОБХОДИМА КОНСУЛЬТАЦИЯ СПЕЦИАЛИСТА

Клиническая ситуация

Пациент обратился в стоматологию «Забота» с жалобами на:
  • длительное отсутствие зубов в боковом или фронтальном отделе (в зависимости от клинической картины);
  • невозможность пользоваться съёмными протезами (плохая фиксация, боль, натирание);
  • эстетический дефект — западание мягких тканей, визуальный дефицит десны;
  • отказы от имплантации в других клиниках из‑за выраженной атрофии костной ткани.

Почему костная пластика и имплантация были невозможны

По результатам компьютерной томографии и клинического осмотра установлено:
  • выраженный дефицит костной ткани;
  • невозможность выполнения костной пластики по медицинским показаниям;
  • противопоказания к дентальной имплантации.

В данной клинической ситуации традиционный имплантационный протокол (включая костную пластику и последующую установку имплантатов) был признан нереализуемым.

В качестве альтернативы имплантации была предложена и реализована конструкция, не требующая хирургического вмешательства в костную ткань:
  • Опорные зубы: сохранившиеся зубы (при их наличии и достаточной стабильности) или зубы после предварительной подготовки.
  • Материал каркаса: диоксид циркония (биосовместимый, прочный, эстетичный).
  • Искусственная десна (розовая керамика / композит, имитирующий слизистую оболочку) — замещает отсутствующий мягкотканный контур в области атрофированного альвеолярного гребня.

Почему цирконий и искусственная десна?

Параметр
Решение
Прочность
Диоксид циркония не скалывается,
выдерживает жевательную нагрузку
Эстетика
Полупрозрачность,
имитация натуральной эмали + розовая керамика для десны
Биосовместимость
Гипоаллергенен, не окисляется, не раздражает слизистую
Отсутствие хирургии
Не требует костной пластики и установки имплантатов

Результат лечения

Пациент получил:
  • несъёмную конструкцию (не нужно снимать на ночь, как съёмный протез);
  • восстановление жевательной функции (возможность пережёвывать пищу без боли и ограничений);
  • полную маскировку дефекта мягких тканей — искусственная десна заполняет пустоту там, где атрофирована кость;
  • естественный внешний вид — протез неотличим от натуральных зубов и здоровой десны;
  • отсутствие хирургических рисков и длительной реабилитации.

Пациент не верил, что качественное протезирование возможно без имплантов. Результат превзошёл ожидания.

Почему это решение является клинически обоснованной альтернативой имплантации

Данный метод показан в следующих ситуациях:
  • выраженная атрофия костной ткани (III–IV степень);
  • невозможность или нежелание пациента выполнять костную пластику;
  • противопоказания к дентальной имплантации (сахарный диабет в стадии декомпенсации, заболевания крови, онкология, приём антирезорбтивной терапии и др.);
  • отказ от многоэтапного хирургического лечения;
  • ограниченный бюджет (циркониевый мост с искусственной десной часто дешевле, чем костная пластика + имплантация + коронки).

Важно понимать:
  • конструкция опирается на сохранившиеся зубы, которые должны быть клинически здоровы или предварительно пролечены;
  • при полном отсутствии зубов на челюсти метод неприменим (требуются опорные зубы);
  • искусственная десна требует тщательной гигиены (доступ к поверхности протеза под десневой частью).

Данный клинический случай актуален для пациентов:
  • которым отказали в имплантации из‑за атрофии кости;
  • которые не хотят или не могут делать костную пластику;
  • которые хотят несъёмный протез, но импланты противопоказаны;
  • с дефицитом мягких тканей в зоне улыбки (запавшая десна, «чёрные треугольники», визуальный провал).

Атрофия костной ткани — это не приговор и не повод мириться со съёмным протезом. В случаях, когда костная пластика и имплантация невозможны, современная ортопедическая стоматология предлагает циркониевые мостовидные протезы с искусственной десной. Это эстетичное, функциональное и долговечное решение, не требующее хирургического вмешательства.

Часто задаваемые вопросы

Надёжно ли крепится мост с искусственной десной, если нет имплантов?

Да. Конструкция фиксируется на подготовленных опорных зубах (как обычный мост). Искусственная десна является частью протеза
и не требует дополнительной фиксации. Протез несъёмный — снять его может только врач.

Не будет ли видна граница между искусственной десной и настоящей?

При качественном изготовлении граница проходит в зоне, скрытой от прямого взгляда (например, на уровне перехода в подвижную слизистую). Цвет и текстура розовой керамики подбираются индивидуально. В большинстве случаев отличие заметно только
при детальном осмотре стоматологом.

Можно ли жевать твёрдую пищу (орехи, сухари, яблоки)?

Циркониевый мост очень прочен, но опорные зубы — естественное ограничение. Рекомендуется избегать чрезмерных нагрузок
(не грызть кости, леденцы, сушку). Обычная пища (мясо, овощи, фрукты, нарезанные кусочками) — без ограничений.

Как ухаживать за протезом с искусственной десной?

Уход сложнее, чем за обычными коронками, но выполним:
  • чистка зубной щёткой и пастой дважды в день;
  • использование ирригатора (обязательно!) для промывания пространства под искусственной десной;
  • зубная нить или суперфлосс для очистки промежутков;
  • профессиональная гигиена у стоматолога каждые 6 месяцев.

Как долго служит такая конструкция?

При правильном уходе и регулярных осмотрах — от 8 до 12 лет и более. Цирконий не стареет, не окрашивается, не теряет прочности. Искусственная десна может потребовать полировки или коррекции через несколько лет (зависит от износа).

Есть ли альтернатива, если опорных зубов нет?

При полном отсутствии зубов на челюсти и невозможности имплантации рассматриваются:
  • полный съёмный протез (эконом‑вариант);
  • условно-съёмный протез на балке (если есть хотя бы 2 импланта, но в данном кейсе речь о полном отказе от имплантации —
    тогда только съёмная конструкция).

Ортопедическое отделение

Восстанавливаем улыбку с помощью коронок, мостовидных и съёмных протезов. Создаём эстетичные виниры для безупречной улыбки. Используем современные материалы — металлокерамику, керамику, диоксид циркония.

Стоматолог-ортопед в Тюмени - В. Н. Попылькин. Занимается протезированием зубов: съемные протезы, мостовидные протезы, коронки и виниры. Циркониевые и металлокерамические зубные протезы

Попылькин
Виталий Николаевич 

Врач-стоматолог-ортопед

Опыт работы 21 год

Стоматолог-ортопед в Тюмени - И. А. Нижегородов. Занимается протезированием зубов: съемные протезы, мостовидные протезы, коронки и виниры. Циркониевые и металлокерамические зубные протезы

Нижегородов
Иван Александрович

Врач-стоматолог-ортопед

Опыт работы 2 года

Почему нам доверяют?

Мы гарантируем нашим пациентам экспертное лечение любой сложности. Наш приоритет — ваше здоровье и комфорт, поэтому мы используем передовые технологии для безболезненного результата.
И все это — по прозрачным и обоснованным ценам.

Заботимся
о каждом

Создаём атмосферу, в которой даже сложное лечение проходит легко

Врачи-стоматологи клиники Забота в Тюмени проводят лечебные манипуляции бережно и со вниманием к тревожным пациентам

Бережём
ваше время

Администраторы курируют лечебный процесс каждого пациента и всегда напомнят о предстоящем визите

Кураторы и администраторы стоматологии Забота в Тюмени координируют даты и время лечения пациентов, чтобы экономить время и проходить необходимые процедуры быстро и удобно

Делаем
прозрачные цены

Составляем детальный план лечения
с фиксированной стоимостью
до начала работы

Врачи стоматологии Забота в Тюмени составляет точные планы лечения и полной стоимостью до его начала, цена не станет неприятным сюрпризом в процессе процедур

Решаем всё
в одном месте

Не направляем пациентов в другие клиники: всё делаем своей командой врачей-стоматологов

В стоматологии Забота в Тюмени работают врачи всех основных специализаций в современной стоматологии, чтобы проводить лечение пациентов в одном месте, не направляя в разные клиники

Постоянно
учимся

Все врачи клиники обучались
в престижных университетах
и регулярно проходят курсы
повышения квалификации

Сотрудники ООО "СЦ Забота" проходят регулярные повышения квалификации, чтобы улучшать качество лечения пациентов и сервиса

Получаем
признание

Наш профессионализм
подтверждён наградами
и премиями высокого уровня

Стоматология Забота в Тюмени - это компания признанный лидер в сфере медицины Тюменской области, она неоднократно получает федеральные и городские премии и награды

Запишитесь
на консультацию

Администратор стоматологии Забота в Тюмени предложит удобную дату и время для записи к стоматологу

Этот сайт защищен reCAPTCHA и регулируется Политикой конфиденциальности и Условиями использования компании Google.

В 2026 году сеть стоматологий Забота в Тюмени вошла в рейтинг лучших взрослых и детских стоматологий Тюмени по версии журнала STARTSMILE TOP

Забота на Арктической

Тюмень
ул. Арктическая 7

Забота на Фармана Салманова

Тюмень
ул. Фармана Салманова 26

Будни 09:00-20:00
Выходные 09:00-18:00 

+7 (3452) 99-22-72

info@zabotastom.ru

Стоматолог-терапевт проводит лечение кариеса, пульпита и периодонтита в Тюмени
Экспертная пародонтология в Тюмени, инновационные методы лечения заболевания десен
Протезирование и имплантация для пенсионеров в Тюмени недорого
ВКонтакте

Вступите в сообщество про здоровье зубов
и полости рта

Logo
  • Главная
  • О нас
    • СМИ о нас
    • Новости
  • Команда
  • Услуги и цены
    • Цены
    • Имплантация зубов
    • Протезирование зубов
    • Исправление прикуса
  • Акции
  • Пациентам
    • Отзывы
    • Результаты лечения
    • Документы и правовая информация
  • Контакты

ООО «СЦ Забота»  Юридический адрес: 625502, Тюменская область, Тюменский р-н, с Перевалово, Трактовая ул, д. 3, кв. 11
ИНН: 7224087089 ОГРН: 1237200007516 Лицензия № Л041-01107-72/00738799 от 16.10.2023

Обращаем Ваше внимание на то, что данный интернет-сайт носит исключительно информационный характер и ни при каких условиях информационные материалы и цены, размещенные на сайте, не являются публичной офертой, определяемой положениями Статьи 437 Гражданского кодекса РФ.

Мы используем куки-файлы и метрическую систему «Яндекс.Метрика» в целях улучшения и обеспечения работоспособности сайта. 
Персональные данные обрабатываются в соответствии с Политикой обработки персональных данных и Согласием на обработку персональных данных.

ИМЕЮТСЯ ПРОТИВОПОКАЗАНИЯ. ПОСОВЕТУЙТЕСЬ С ВРАЧОМ.

Сколько зубов вы хотите восстановить?
На какой челюсти отсутствуют зубы?
Какие у вас ожидания от имплантов?
Что для вас важнее при выборе импланта?
Есть ли у вас опыт имплантации или протезирования?
Оставьте свой номер для персональной консультации

Этот сайт защищен reCAPTCHA и регулируется Политикой конфиденциальности и Условиями использования компании Google.

или нажмите Enter
Заявка отправлена
Скоро наш администратор свяжется с вами и подберёт вам удобное время для консультации
  • Главная
  • О нас
    • О клинике
    • Новости
    • СМИ о нас
  • Команда
  • Услуги и цены
    • Цены
    • Имплантация зубов
    • Протезирование зубов
    • Исправление прикуса
    • Лечение кариеса
    • Удаление зубов
    • Лечение дёсен
  • Пациентам
    • Акции
    • Отзывы
    • Результаты лечения
    • Лечение по ДМС
    • Документы и правовая информация
  • Контакты
Тюмень
ул. Арктическая 7/10
ул. Фармана Салманова 26
+7 (3452) 99-22-72
Будни 09:00 - 20:00
Выходные 09:00 - 18:00