Logo
Тюмень
ул. Арктическая 7/10
ул. Фармана Салманова 26
+7 (3452) 99-22-72
Будни 09:00 - 20:00
Выходные 09:00 - 18:00
Версия для
слабовидящих
  • Главная
  • О нас
    • О клинике
    • Новости
    • СМИ о нас
  • Команда
  • Услуги и цены
    • Цены
    • Имплантация зубов
    • Протезирование зубов
    • Исправление прикуса
    • Лечение кариеса
    • Удаление зубов
    • Лечение дёсен
  • Пациентам
    • Акции
    • Отзывы
    • Результаты лечения
    • Лечение по ДМС
    • Документы и правовая информация
  • Контакты
Logo
+7 (3452) 99-22-72
Будни 09:00 - 20:00
Выходные 09:00 - 18:00

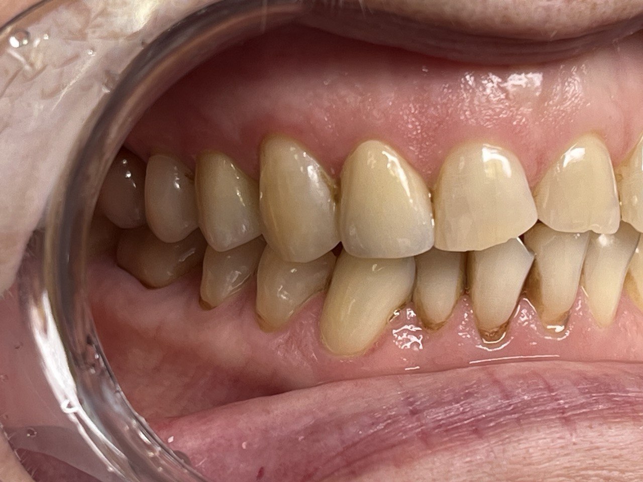
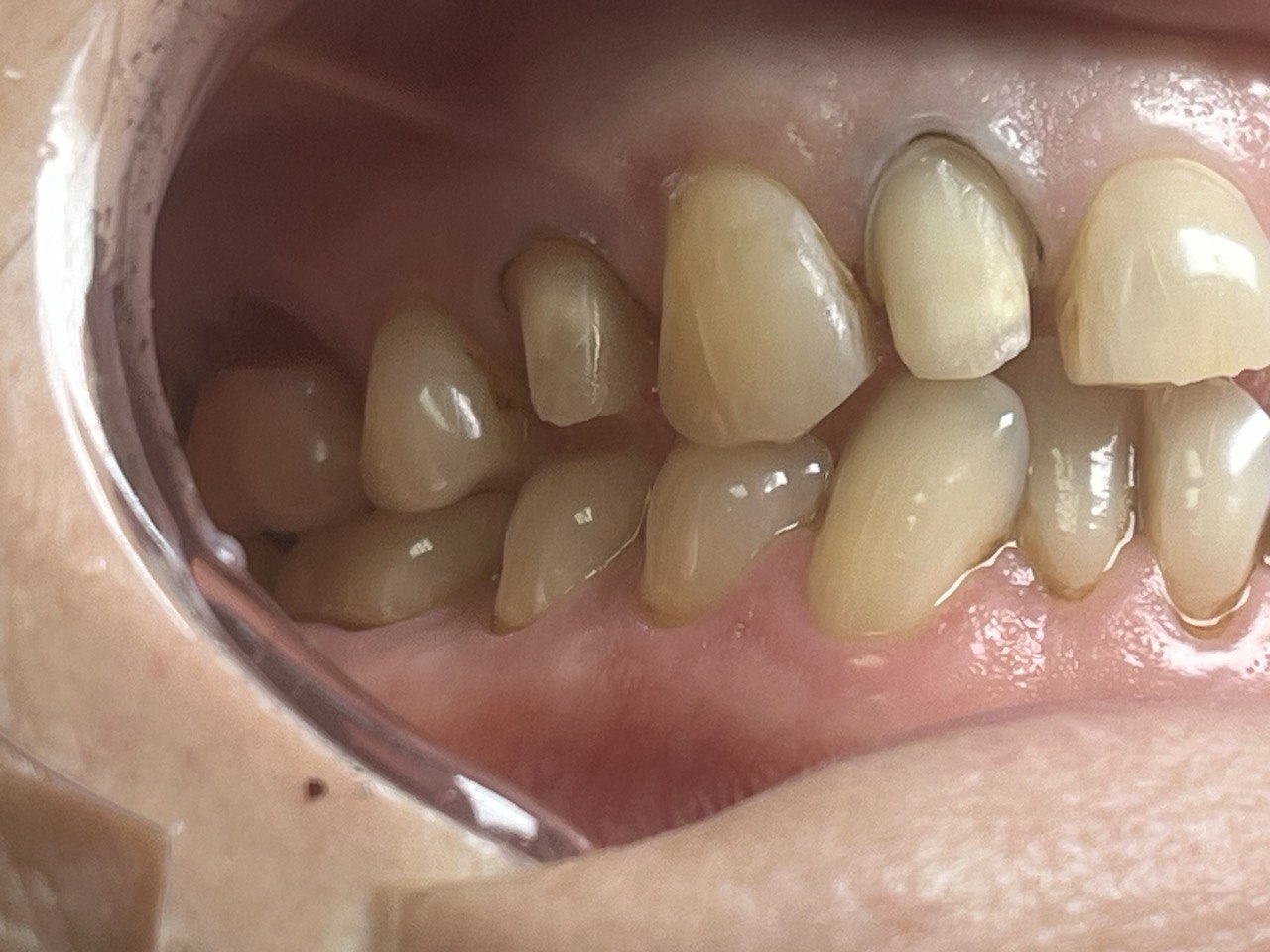
Были «железные» зубы, стали свои: история замены двух металлических коронок

До
До
После
После
ИМЕЮТСЯ ПРОТИВОПОКАЗАНИЯ, НЕОБХОДИМА КОНСУЛЬТАЦИЯ СПЕЦИАЛИСТА

Клиническая ситуация

К нам пришел пациент, который давно стеснялся своей улыбки. На зубах 1.2 (боковой резец) и 1.4 (первый премоляр) стояли старые металлические коронки. Сделали их давно, когда «красиво» было не главное. Главное было — дёшево и крепко.

Но пациента это перестало устраивать:
  • Коронки бросались в глаза при разговоре и улыбке. Металлический блеск выглядел неестественно.
  • У края десны появилась синева — это просвечивал металл через слизистую.
  • Десна вокруг коронок покраснела и иногда болела — из-за плохого прилегания.
  • Боялся смеяться и фотографироваться — казалось, что все видят эти «железки» во рту.

Что мы предложили

Мы осмотрели зубы 1.2 и 1.4. Старые металлические коронки действительно сидели плохо: был зазор между краем коронки и десной, туда забивалась еда, начиналось воспаление. Под коронками — тоже не всё было идеально.

Врач объяснил просто:

«Металлические коронки — это прошлый век. Сейчас есть материал, который по прочности как металл, но выглядит как настоящий зуб. Он называется диоксид циркония. Никакой синевы, никакого блеска железа. Только ваш естественный цвет».

Результат лечения

Шаг 1. Сняли старые коронки и вылечили зубы изнутри
Аккуратно, без боли, сняли металлические «колпачки». Почистили зубы под ними, пролечили каналы (где нужно). Сделали всё, чтобы под новыми коронками было чисто и надёжно.

Шаг 2. Сделали слепки и подобрали цвет
Стоматолог-ортопед вместе с пациентом выбрали оттенок будущих коронок — чтобы он был как у соседних здоровых зубов. Никто не должен догадаться, что это не свои зубы.

Шаг 3. Изготовили и примерили циркониевые коронки
Пока в лаборатории делали коронки, пациент походила с временными — не страшно и не стыдно. Через пару недель приехал на фиксацию. Коронки встали идеально.

Шаг 4. Закрепили навсегда
Врач посадил коронки на специальный прочный цемент. Пациент посмотрел в зеркало и… не поверил своим глазам.

«Это мои зубы? Я не вижу разницы! Они выглядят так, будто я не был у стоматолога, а просто родился с такой улыбкой».
Что было
Что стало
Металлические коронки с синим отливом у десны
Циркониевые коронки — полупрозрачные, как настоящая эмаль
Видимый край металла при улыбке
Никакой границы — коронка сливается с зубом
Воспаление десны из-за плохого прилегания
Десна здоровая, розовая, плотно прилегает
Стеснение и привычка прикрывать рот
Открытая, красивая улыбка без страха

Почему цирконий лучше металла

  • Выглядит как свои зубы. Металл блестит неестественно. Цирконий — как настоящий зуб, пропускает свет.
  • Нет синевы у десны. Металл просвечивает и даёт тёмный ободок. Цирконий — нет.
  • Не вызывает аллергии. Металл у некоторых даёт реакцию. Цирконий — гипоаллергенен.
  • Не окисляется. Металл со временем «ржавеет» во рту. Цирконию ничего не делается.
  • Десна не воспаляется. Из-за точного прилегания циркониевой коронки туда не забиваются остатки еды.

Хотите так же?

Данный клинический случай актуален для следующих категорий пациентов:
  • У вас во рту старые металлические коронки, которые стыдно показать.
  • Край коронки почернел или посинел у десны.
  • Вы стесняетесь улыбаться и мечтаете о красивых зубах.
  • Думаете, что менять коронки — это долго, больно и дорого. Нет, если сделать правильно с первого раза.
  • Хотите, чтобы зубы выглядели как свои, а не как «вставная челюсть».

Заменить старые металлические коронки на современные циркониевые — это не больно и не долго. Зато результат вы видите сразу: естественный цвет, никакой синевы, никакого стеснения. Если ваши коронки выдают себя с первого взгляда — приходите к нам в «Заботу». Посмотрим, расскажем, покажем на примерах.

Часто задаваемые вопросы

Больно ли снимать старые коронки?

Нет. Врач аккуратно спиливает коронку специальным бором. Зуб под ней не болит, потому что перед этим мы всё лечим. А если нужно — делаем укол обезболивающего.

Сколько времени займёт замена двух коронок?

Обычно 2–3 визита:
  • Первый — снимаем старые, лечим зубы, снимаем слепки.
  • Через 1–2 недели — примерка и фиксация.
Временные коронки ставим сразу, так что ходить с «пеньками» не придётся.

Циркониевые коронки дороже металлических?

Да, дороже. Но разница в цене оправдана: они красивее, безопаснее и служат не меньше. Вы платите за эстетику и спокойствие. Это инвестиция в вашу улыбку на годы.

Как ухаживать за циркониевыми коронками?

Так же, как за обычными зубами:
  • Чистить два раза в день.
  • Пользоваться зубной нитью.
  • Раз в полгода приходить на чистку к гигиенисту.
Никаких специальных средств не нужно.

А если у меня таких коронок много — можно все заменить?

Конечно. Можно менять постепенно, по мере возможности. Начните с самых заметных — передних зубов, а потом и до жёвательных доберётесь. Врач составит план.

Как записаться на замену коронок в Тюмени?

Позвоните нам, напишите в чат на сайте или просто зайдите в гости — стоматология «Забота» в Тюмени.
Скажите: «Хочу заменить старые металлические коронки на красивые». Мы всё покажем, расскажем и сделаем.

Почему нам доверяют?

Мы гарантируем нашим пациентам экспертное лечение любой сложности. Наш приоритет — ваше здоровье и комфорт, поэтому мы используем передовые технологии для безболезненного результата.
И все это — по прозрачным и обоснованным ценам.

Заботимся
о каждом

Создаём атмосферу, в которой даже сложное лечение проходит легко

Бережём
ваше время

Администраторы курируют лечебный процесс каждого пациента и всегда напомнят о предстоящем визите

Делаем
прозрачные цены

Составляем детальный план лечения
с фиксированной стоимостью
до начала работы

Решаем всё
в одном месте

Не направляем пациентов в другие клиники: всё делаем своей командой врачей-стоматологов

Постоянно
учимся

Все врачи клиники обучались
в престижных университетах
и регулярно проходят курсы
повышения квалификации

Получаем
признание

Наш профессионализм
подтверждён наградами
и премиями высокого уровня

Запишитесь
на консультацию

Забота на Арктической
Тюмень
ул. Арктическая 7
Забота на Фармана Салманова
Тюмень
ул. Фармана Салманова 26
Будни 09:00-20:00
Выходные 09:00-18:00 
+7 (3452) 99-22-72
info@zabotastom.ru
ВКонтакте

Вступите в сообщество про здоровье зубов
и полости рта

Logo
  • Главная
  • О нас
    • СМИ о нас
    • Новости
  • Команда
  • Услуги и цены
    • Цены
    • Имплантация зубов
    • Протезирование зубов
    • Исправление прикуса
  • Акции
  • Пациентам
    • Отзывы
    • Результаты лечения
    • Документы и правовая информация
  • Контакты

ООО «СЦ Забота»  Юридический адрес: 625502, Тюменская область, Тюменский р-н, с Перевалово, Трактовая ул, д. 3, кв. 11
ИНН: 7224087089 ОГРН: 1237200007516 Лицензия № Л041-01107-72/00738799 от 16.10.2023

Обращаем Ваше внимание на то, что данный интернет-сайт носит исключительно информационный характер и ни при каких условиях информационные материалы и цены, размещенные на сайте, не являются публичной офертой, определяемой положениями Статьи 437 Гражданского кодекса РФ.

Мы используем куки-файлы и метрическую систему «Яндекс.Метрика» в целях улучшения и обеспечения работоспособности сайта. 
Персональные данные обрабатываются в соответствии с Политикой обработки персональных данных и Согласием на обработку персональных данных.
ИМЕЮТСЯ ПРОТИВОПОКАЗАНИЯ. ПОСОВЕТУЙТЕСЬ С ВРАЧОМ.
Сколько зубов вы хотите восстановить?
На какой челюсти отсутствуют зубы?
Какие у вас ожидания от имплантов?
Что для вас важнее при выборе импланта?
Есть ли у вас опыт имплантации или протезирования?
Оставьте свой номер для персональной консультации
Отправка формы
Подтвердите, что вы не робот
или нажмите Enter
Заявка отправлена
Скоро наш администратор свяжется с вами и подберёт вам удобное время для консультации
  • Главная
  • О нас
    • О клинике
    • Новости
    • СМИ о нас
  • Команда
  • Услуги и цены
    • Цены
    • Имплантация зубов
    • Протезирование зубов
    • Исправление прикуса
    • Лечение кариеса
    • Удаление зубов
    • Лечение дёсен
  • Пациентам
    • Акции
    • Отзывы
    • Результаты лечения
    • Лечение по ДМС
    • Документы и правовая информация
  • Контакты
Тюмень
ул. Арктическая 7/10
ул. Фармана Салманова 26
+7 (3452) 99-22-72
Будни 09:00 - 20:00
Выходные 09:00 - 18:00