Logo
Тюмень
ул. Арктическая 7/10
ул. Фармана Салманова 26
+7 (3452) 99-22-72
Будни 09:00 - 20:00
Выходные 09:00 - 18:00
Версия для
слабовидящих
  • Главная
  • О нас
    • О клинике
    • Новости
    • СМИ о нас
  • Команда
  • Услуги и цены
    • Цены
    • Имплантация зубов
    • Протезирование зубов
    • Исправление прикуса
    • Лечение кариеса
    • Удаление зубов
    • Лечение дёсен
  • Пациентам
    • Акции
    • Отзывы
    • Результаты лечения
    • Лечение по ДМС
    • Документы и правовая информация
  • Контакты
Logo
+7 (3452) 99-22-72
Будни 09:00 - 20:00
Выходные 09:00 - 18:00

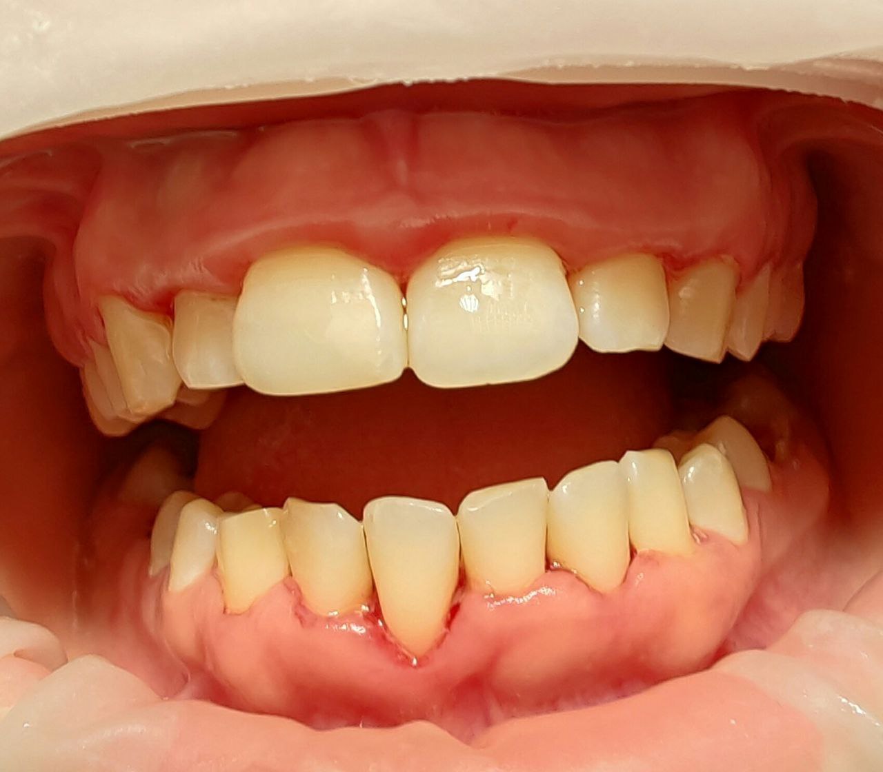
«Боялся стоматологов всю жизнь»: как мы провели профессиональную гигиену при обильном налёте, камне и кровоточивости дёсен

До
До
После
После
ИМЕЮТСЯ ПРОТИВОПОКАЗАНИЯ, НЕОБХОДИМА КОНСУЛЬТАЦИЯ СПЕЦИАЛИСТА

Клиническая ситуация

В стоматологию «Забота» (Тюмень) обратился пациент с жалобами, которые беспокоили его долгое время:
  • обильный плотный налёт на всех зубах — эмаль практически не просматривалась;
  • зубной камень — особенно выраженный в области зуба 4.1 (центральный резец нижней челюсти) с вестибулярной (внешней) стороны;
  • стойкий неприятный запах изо рта, не устраняемый домашней чисткой;
  • сильная кровоточивость дёсен — как при чистке зубов, так и при лёгком прикосновении (пальпации), а также при зондировании.

Важная особенность анамнеза: пациент никогда ранее не делал профессиональную гигиену полости рта. Более того, он испытывает панический страх перед стоматологами, что привело к многолетнему отсутствию какого-либо лечения и крайне запущенному состоянию полости рта.

«Я боялся стоматологов с детства. Даже звук бормашины вызывал панику. Поэтому просто терпел. Но налёт стал таким, что уже мешал жить, а запах… я сам от себя отворачивался».

Результаты осмотра

Врач-стоматолог (работа проводилась в щадящем режиме, с постоянным вербальным контактом) выявила:

Локализация
Выявленные изменения
Зуб 4.1 (центральный резец нижней челюсти)
Массивный наддесневой зубной камень
с вестибулярной стороны, частично перекрывающий эмаль
Все зубы обеих челюстей
Плотный пигментированный мягкий налёт
(жёлто-коричневый), эмаль не просматривается
Дёсны
Выраженная отёчность,
гиперемия (покраснение), кровоточивость при лёгком прикосновении зондом и даже пальцем
Запах
Резкий галитоз (неприятный запах), связанный с массивными бактериальными отложениями
Гигиенический индекс
Крайне неудовлетворительный (пациент никогда не обучался правильной чистке)

Диагноз: хронический генерализованный гингивит тяжёлой степени на фоне тотальных зубных отложений. Риск перехода в пародонтит.

Результат лечения

Данный случай отличался не только клинической запущенностью, но и выраженным психологическим барьером.
  • Пациент с трудом шёл на контакт, испытывал тревогу даже при разговоре о предстоящих манипуляциях.
  • Врач и ассистент выбрали тактику «как с ребёнком на детском приёме» — максимально бережно, с объяснением каждого действия, без резких движений, с частыми паузами.
  • Использована местная аппликационная анестезия (гель) для снижения чувствительности дёсен перед началом работы.
  • Пациенту было предложено поднять руку в любой момент для остановки процедуры — это дало ему чувство контроля.

«Мы работали медленно, постоянно проговаривая: "сейчас будет лёгкое покалывание", "сейчас немного воды", "вы молодец, терпите". К концу процедуры пациент расслабился и даже улыбнулся».

Этап 1. Удаление зубного камня ультразвуком
С помощью ультразвукового скалера врач аккуратно разрушила и удалила массивные наддесневые отложения, включая крупный камень на зубе 4.1. Поддесневой камень (неглубокий) также был удалён. Работа велась на минимальной мощности с частым орошением водой для снижения дискомфорта.

Этап 2. Снятие плотного мягкого налёта методом Air Flow
Аппарат Air Flow (с порошком на основе глицина) позволил удалить пигментированный налёт из межзубных промежутков, фиссур и придесневой зоны. После этого этапа зубы визуально посветлели на несколько тонов.

Этап 3. Полировка эмали
Финальная полировка специальными абразивными пастами с помощью резиновых чашечек и щёточек сделала поверхность зубов идеально гладкой, что замедляет образование нового налёта.

Этап 4. Реминерализация (нанесение фторгеля)
Для снижения чувствительности и укрепления эмали (особенно в пришеечной области, где эмаль была истончена) нанесён фторсодержащий гель.

Несмотря на сложность клинического случая и психологические особенности пациента, после проведения профессиональной гигиены достигнуты следующие результаты:

Исходная проблема
Достигнутый результат
Обильный плотный налёт на всех зубах
Эмаль полностью очищена, виден естественный цвет зубов
Массивный камень на зубе 4.1
Камень полностью удалён, поверхность зуба гладкая
Неприятный запах изо рта
Галитоз устранён (удалена бактериальная среда)
Кровоточивость дёсен при зондировании и пальпации
Кровоточивость значительно уменьшилась, через несколько дней исчезла полностью
Общее состояние дёсен
Отёчность и гиперемия снизились, десны стали более плотными
Психологический барьер
Пациент доволен результатом, отметил, что страх уменьшился, и согласился на повторный визит через 6 месяцев
Пациент после процедуры: «Я не думал, что мои зубы могут так выглядеть. Они стали светлыми, гладкими, и запах ушёл. Спасибо, что потерпели меня и мои страхи. Я даже подумал — может, и другие зубы полечить?»

Хотите так же?

Эта история — про вас, если:
  • вы никогда не делали профессиональную чистку и боитесь даже думать о стоматологах;
  • ваши зубы покрыты плотным жёлто-коричневым налётом, который не счищается щёткой;
  • вы заметили твёрдые тёмные отложения у десны (особенно на нижних передних зубах);
  • у вас постоянно кровоточат дёсны — даже при лёгком прикосновении;
  • вас беспокоит неприятный запах изо рта, и вы стесняетесь общаться;
  • вы думаете, что «уже всё запущено и ничего не исправить» — исправить можно, и мы это доказали.

Профессиональная гигиена полости рта — это не только про красоту, но и про здоровье. В данном кейсе пациент с паническим страхом стоматологов, многолетним отсутствием чистки, массивным камнем на зубе 4.1, кровоточивостью при пальпации и стойким галитозом получил полноценную санацию за один визит.

Благодаря бережному подходу, использованию ультразвука, Air Flow, полировки и фторгеля удалось:
  • полностью удалить камень и налёт;
  • устранить неприятный запах;
  • значительно снизить кровоточивость;
  • вернуть зубам естественный цвет и гладкость;
  • а главное — уменьшить страх пациента перед стоматологами.

Если вы узнали себя в этом описании — не ждите. Чем дольше откладывать, тем больше камня и тем сложнее психологически. Запишитесь на консультацию в стоматологию «Забота» в Тюмени. Мы найдём подход к каждому.
Даже к тем, кто сильно боится.

Часто задаваемые вопросы

Что делать, если я тоже очень боюсь стоматологов?

Сообщите об этом администратору и врачу до начала приёма. В «Заботе» работают с тревожными пациентами: используются аппликационная анестезия, частые паузы, объяснение каждого действия, возможность остановить процедуру поднятием руки. 

Больно ли удалять зубной камень ультразвуком?

При неглубоком камне — нет, ощущается только вибрация и лёгкое покалывание. При массивных отложениях или чувствительных дёснах врач использует местную анестезию (гель или укол). Пациент из данного кейса обошёлся аппликационным гелем.

Почему кровоточат дёсны при чистке зубов?

Кровоточивость — это признак воспаления (гингивита), вызванного бактериальным налётом и камнем. Домашняя чистка убирает только часть налёта, а камень остаётся и травмирует десну. После профессионального удаления камня
кровоточивость проходит в течение 3–7 дней.

Как часто нужно делать профессиональную гигиену?

Рекомендуемая частота — 2 раза в год (каждые 6 месяцев). При быстром образовании камня, курении, злоупотреблении кофе/чаем — каждые 3–4 месяца.

Можно ли было сразу после гигиены сделать отбеливание?

Да, но с осторожностью. После удаления массивного камня эмаль может быть чувствительна. Кроме того, важно, чтобы все зубы были пролечены. В подобных случаях нужна индивидуальная консультация врача-стоматолога. 

Как записаться на профессиональную гигиену при страхе стоматологов в Тюмени?

Вы можете:
  • позвонить по телефону +7 (3452) 99-22-72;
  • оставить заявку на сайте стоматологии «Забота»;
  • прийти лично в клинику.

При записи обязательно сообщите, что у вас панический страх стоматологов — вас запишут к врачу, имеющему опыт работы с тревожными пациентами.

Почему нам доверяют?

Мы гарантируем нашим пациентам экспертное лечение любой сложности. Наш приоритет — ваше здоровье и комфорт, поэтому мы используем передовые технологии для безболезненного результата.
И все это — по прозрачным и обоснованным ценам.

Заботимся
о каждом

Создаём атмосферу, в которой даже сложное лечение проходит легко

Бережём
ваше время

Администраторы курируют лечебный процесс каждого пациента и всегда напомнят о предстоящем визите

Делаем
прозрачные цены

Составляем детальный план лечения
с фиксированной стоимостью
до начала работы

Решаем всё
в одном месте

Не направляем пациентов в другие клиники: всё делаем своей командой врачей-стоматологов

Постоянно
учимся

Все врачи клиники обучались
в престижных университетах
и регулярно проходят курсы
повышения квалификации

Получаем
признание

Наш профессионализм
подтверждён наградами
и премиями высокого уровня

Запишитесь
на консультацию

Забота на Арктической
Тюмень
ул. Арктическая 7
Забота на Фармана Салманова
Тюмень
ул. Фармана Салманова 26
Будни 09:00-20:00
Выходные 09:00-18:00 
+7 (3452) 99-22-72
info@zabotastom.ru
ВКонтакте

Вступите в сообщество про здоровье зубов
и полости рта

Logo
  • Главная
  • О нас
    • СМИ о нас
    • Новости
  • Команда
  • Услуги и цены
    • Цены
    • Имплантация зубов
    • Протезирование зубов
    • Исправление прикуса
  • Акции
  • Пациентам
    • Отзывы
    • Результаты лечения
    • Документы и правовая информация
  • Контакты

ООО «СЦ Забота»  Юридический адрес: 625502, Тюменская область, Тюменский р-н, с Перевалово, Трактовая ул, д. 3, кв. 11
ИНН: 7224087089 ОГРН: 1237200007516 Лицензия № Л041-01107-72/00738799 от 16.10.2023

Обращаем Ваше внимание на то, что данный интернет-сайт носит исключительно информационный характер и ни при каких условиях информационные материалы и цены, размещенные на сайте, не являются публичной офертой, определяемой положениями Статьи 437 Гражданского кодекса РФ.

Мы используем куки-файлы и метрическую систему «Яндекс.Метрика» в целях улучшения и обеспечения работоспособности сайта. 
Персональные данные обрабатываются в соответствии с Политикой обработки персональных данных и Согласием на обработку персональных данных.
ИМЕЮТСЯ ПРОТИВОПОКАЗАНИЯ. ПОСОВЕТУЙТЕСЬ С ВРАЧОМ.
Сколько зубов вы хотите восстановить?
На какой челюсти отсутствуют зубы?
Какие у вас ожидания от имплантов?
Что для вас важнее при выборе импланта?
Есть ли у вас опыт имплантации или протезирования?
Оставьте свой номер для персональной консультации
Отправка формы
Подтвердите, что вы не робот
или нажмите Enter
Заявка отправлена
Скоро наш администратор свяжется с вами и подберёт вам удобное время для консультации
  • Главная
  • О нас
    • О клинике
    • Новости
    • СМИ о нас
  • Команда
  • Услуги и цены
    • Цены
    • Имплантация зубов
    • Протезирование зубов
    • Исправление прикуса
    • Лечение кариеса
    • Удаление зубов
    • Лечение дёсен
  • Пациентам
    • Акции
    • Отзывы
    • Результаты лечения
    • Лечение по ДМС
    • Документы и правовая информация
  • Контакты
Тюмень
ул. Арктическая 7/10
ул. Фармана Салманова 26
+7 (3452) 99-22-72
Будни 09:00 - 20:00
Выходные 09:00 - 18:00