Logo

Тюмень
ул. Арктическая 7/10
ул. Фармана Салманова 26

+7 (3452) 99-22-72
Будни 09:00 - 20:00
Выходные 09:00 - 18:00

Версия для
слабовидящих

  • Главная
  • О нас
    • О клинике
    • Новости
    • СМИ о нас
  • Команда
  • Услуги и цены
    • Цены
    • Имплантация зубов
    • Протезирование зубов
    • Исправление прикуса
    • Лечение кариеса
    • Удаление зубов
    • Лечение дёсен
  • Пациентам
    • Акции
    • Отзывы
    • Результаты лечения
    • Лечение по ДМС
    • Документы и правовая информация
  • Контакты
Logo
+7 (3452) 99-22-72
Будни 09:00 - 20:00
Выходные 09:00 - 18:00

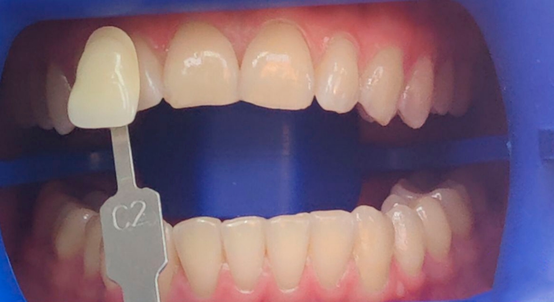
Отбеливание зубов ZOOM: клинический случай перехода от натурального тона C2 к холодному B2

До
До
После
После
ИМЕЮТСЯ ПРОТИВОПОКАЗАНИЯ, НЕОБХОДИМА КОНСУЛЬТАЦИЯ СПЕЦИАЛИСТА

Клиническая ситуация

Пациентка обратилась в стоматологию «Забота» с жалобой на неудовлетворительный цвет зубов. При естественном освещении улыбка выглядела тусклой, с выраженным жёлтым оттенком, что вызывало психологический дискомфорт при общении и фотографировании.

Исходный цвет зубов по шкале Vita: C2 (натуральный оттенок, но с заметной желтизной).

Предварительный этап: профессиональная гигиена и терапевтическое лечение

Перед проведением отбеливания ZOOM были выполнены обязательные подготовительные процедуры:
  1. Профессиональная гигиена полости рта — удаление зубных отложений (камня и мягкого налёта) с помощью ультразвука и технологии Air Flow. Это необходимо для равномерного воздействия отбеливающего геля на эмаль.
  2. Терапевтическое лечение — санация всех кариозных полостей, замена некачественных пломб (при наличии). Отбеливание проводится только на здоровых зубах.

Важно: Отбеливание на несанированной полости рта может привести к повышенной чувствительности, неравномерному результату и обострению скрытых воспалительных процессов.

Принятое решение: отбеливание по системе ZOOM

Лечащий врач: стоматолог-терапевт, сертифицированный специалист по системе ZOOM.

После оценки состояния зубов, отсутствия противопоказаний (беременность, лактация, выраженная рецессия десны,
множественные трещины эмали, аллергия на компоненты геля) пациентке была предложена и проведена процедура
профессионального отбеливания ZOOM.

Краткое описание метода ZOOM
Система ZOOM (4-го поколения, актуальная версия) — это метод кабинетного отбеливания, при котором используется специальный гель на основе перекиси водорода, активируемый светом определённого спектра (галогеновая или LED-лампа). Основные преимущества метода:

Параметр
Характеристика
Количество сеансов  
1
Длительность процедуры  
Около 60 минут
Возможное осветление
До 8–10 тонов по шкале Vita
Влияние на эмаль  
Минимальное (при правильном проведении)
Чувствительность после процедуры  
Временная (1–3 дня), купируется реминерализацией

Этапы процедуры в данном кейсе
  1. Защита мягких тканей — десны, губы и слизистая изолированы специальным коффердамом или светоотверждаемым барьером.
  2. Нанесение отбеливающего геля ZOOM на вестибулярную поверхность зубов верхней и нижней челюсти.
  3. Активация светом — 3–4 цикла по 15 минут с обновлением геля.
  4. Завершение процедуры — удаление остатков геля, оценка промежуточного результата.
  5. Реминерализующая терапия — нанесение фторсодержащих препаратов для снижения чувствительности и закрепления результата

Результат отбеливания

После процедуры зафиксирован цвет зубов: B2 по шкале Vita.
  • Осветление на 2–3 тона (в восприятии — переход из тёплой жёлтой гаммы в холодную, визуально более белую).
  • Результат достигнут за один сеанс.
  • Эмаль не повреждена, блеск сохранён.
  • Пациентка отметила высокую удовлетворённость эстетикой улыбки.

Комментарий врача: Переход из группы C (серо-жёлтые оттенки) в группу B (красновато-жёлтые, но воспринимаемые как более белые) визуально даёт выраженный «эффект голливудской улыбки» при сохранении естественности.

Почему стоит выбрать отбеливание ZOOM в стоматологии «Забота»

  • Гарантия безопасности — процедура проводится только после полной санации полости рта.
  • Предсказуемый результат — система ZOOM даёт осветление, которое невозможно достичь домашними методами
    (капами, полосками, пастами).
  • Один визит — не нужно носить капы неделями.
  • Контроль врача — минимизация риска ожогов десны и гиперчувствительности.
  • Опытный специалист — процедуру выполняет врач, обученный работе с системой ZOOM.

Клинический случай пациентки с исходным цветом C2 и итоговым B2 демонстрирует эффективность профессионального отбеливания ZOOM при условии правильной подготовки (гигиена, санация) и соблюдения постпроцедурных рекомендаций. Метод позволяет за один час получить визуально более белую, сияющую улыбку без повреждения эмали.

Если вас не устраивает цвет зубов, вы хотите быстрого и безопасного результата — отбеливание ZOOM в стоматологии «Забота» (Тюмень) является одним из лучших вариантов в своей ценовой категории.

Часто задаваемые вопросы

Насколько стойкий результат отбеливания ZOOM?

При соблюдении рекомендаций (особенно в первые 48 часов) результат сохраняется от 6 месяцев до 2–3 лет.
Скорость возвращения цвета зависит от пищевых привычек, курения и частоты профессиональной гигиены.

Болят ли зубы после отбеливания ZOOM?

У большинства пациентов возникает временная повышенная чувствительность на холодное/горячее в течение 1–3 дней. Она купируется реминерализующими гелями, фторсодержащими пастами и щадящим режимом. У пациентки из данного кейса чувствительность была незначительной и прошла за 2 дня.

Почему перед отбеливанием потребовалось терапевтическое лечение?

Отбеливающий гель проникает через эмаль. Если под старой пломбой есть кариес или трещина, гель вызовет острую боль и может усугубить воспаление. Кроме того, пломбы и коронки не отбеливаются — после процедуры они будут выделяться на фоне посветлевшей эмали.

Можно ли отбелить один зуб?

Нет. Отбеливание проводится на всех зубах улыбки (обычно от 4 до 4). Если нужен более светлый один зуб (например, после эндодонтического лечения), применяют внутрикоронковое отбеливание — это отдельная процедура.

Как часто можно делать отбеливание ZOOM?

Рекомендуемый интервал — не чаще 1 раза в год. Частое отбеливание может привести к повышенной чувствительности
и истончению эмали. В данном кейсе повторная процедура при необходимости будет возможна через 1,5–2 года.

Вредно ли отбеливание для эмали?

При правильном проведении (защита десны, контроль времени, реминерализация после) вред минимален. Исследования не подтверждают разрушения эмали при соблюдении протокола ZOOM. Однако при истончённой эмали, множественных трещинах или эрозиях отбеливание противопоказано.

Отделение профилактики

Профессиональная чистка зубов и удаление зубного камня — основа здоровья полости рта. Предлагаем отбеливание зубов,
реминерализацию эмали и обучение правильной гигиене. Заботимся о том, чтобы ваши зубы оставались крепкими и сияющими.

Стоматолог-гигиенист в Тюмени - В. И. Нифдалиева. Выполняет комплексную профессиональную гигиену полости рта, а также отбеливание зубов Zoom, Beyond и Amazing White, занимается лечением десен на пародонтологическом приеме

Нифдалиева
Валерия Игоревна

Врач-стоматолог
(взрослый и детский)

Опыт работы 4 года

Почему нам доверяют?

Мы гарантируем нашим пациентам экспертное лечение любой сложности. Наш приоритет — ваше здоровье и комфорт, поэтому мы используем передовые технологии для безболезненного результата.
И все это — по прозрачным и обоснованным ценам.

Заботимся
о каждом

Создаём атмосферу, в которой даже сложное лечение проходит легко

Врачи-стоматологи клиники Забота в Тюмени проводят лечебные манипуляции бережно и со вниманием к тревожным пациентам

Бережём
ваше время

Администраторы курируют лечебный процесс каждого пациента и всегда напомнят о предстоящем визите

Кураторы и администраторы стоматологии Забота в Тюмени координируют даты и время лечения пациентов, чтобы экономить время и проходить необходимые процедуры быстро и удобно

Делаем
прозрачные цены

Составляем детальный план лечения
с фиксированной стоимостью
до начала работы

Врачи стоматологии Забота в Тюмени составляет точные планы лечения и полной стоимостью до его начала, цена не станет неприятным сюрпризом в процессе процедур

Решаем всё
в одном месте

Не направляем пациентов в другие клиники: всё делаем своей командой врачей-стоматологов

В стоматологии Забота в Тюмени работают врачи всех основных специализаций в современной стоматологии, чтобы проводить лечение пациентов в одном месте, не направляя в разные клиники

Постоянно
учимся

Все врачи клиники обучались
в престижных университетах
и регулярно проходят курсы
повышения квалификации

Сотрудники ООО "СЦ Забота" проходят регулярные повышения квалификации, чтобы улучшать качество лечения пациентов и сервиса

Получаем
признание

Наш профессионализм
подтверждён наградами
и премиями высокого уровня

Стоматология Забота в Тюмени - это компания признанный лидер в сфере медицины Тюменской области, она неоднократно получает федеральные и городские премии и награды

Запишитесь
на консультацию

Администратор стоматологии Забота в Тюмени предложит удобную дату и время для записи к стоматологу

Этот сайт защищен reCAPTCHA и регулируется Политикой конфиденциальности и Условиями использования компании Google.

В 2026 году сеть стоматологий Забота в Тюмени вошла в рейтинг лучших взрослых и детских стоматологий Тюмени по версии журнала STARTSMILE TOP

Забота на Арктической

Тюмень
ул. Арктическая 7

Забота на Фармана Салманова

Тюмень
ул. Фармана Салманова 26

Будни 09:00-20:00
Выходные 09:00-18:00 

+7 (3452) 99-22-72

info@zabotastom.ru

Стоматолог-терапевт проводит лечение кариеса, пульпита и периодонтита в Тюмени
Экспертная пародонтология в Тюмени, инновационные методы лечения заболевания десен
Протезирование и имплантация для пенсионеров в Тюмени недорого
ВКонтакте

Вступите в сообщество про здоровье зубов
и полости рта

Logo
  • Главная
  • О нас
    • СМИ о нас
    • Новости
  • Команда
  • Услуги и цены
    • Цены
    • Имплантация зубов
    • Протезирование зубов
    • Исправление прикуса
  • Акции
  • Пациентам
    • Отзывы
    • Результаты лечения
    • Документы и правовая информация
  • Контакты

ООО «СЦ Забота»  Юридический адрес: 625502, Тюменская область, Тюменский р-н, с Перевалово, Трактовая ул, д. 3, кв. 11
ИНН: 7224087089 ОГРН: 1237200007516 Лицензия № Л041-01107-72/00738799 от 16.10.2023

Обращаем Ваше внимание на то, что данный интернет-сайт носит исключительно информационный характер и ни при каких условиях информационные материалы и цены, размещенные на сайте, не являются публичной офертой, определяемой положениями Статьи 437 Гражданского кодекса РФ.

Мы используем куки-файлы и метрическую систему «Яндекс.Метрика» в целях улучшения и обеспечения работоспособности сайта. 
Персональные данные обрабатываются в соответствии с Политикой обработки персональных данных и Согласием на обработку персональных данных.

ИМЕЮТСЯ ПРОТИВОПОКАЗАНИЯ. ПОСОВЕТУЙТЕСЬ С ВРАЧОМ.

Сколько зубов вы хотите восстановить?
На какой челюсти отсутствуют зубы?
Какие у вас ожидания от имплантов?
Что для вас важнее при выборе импланта?
Есть ли у вас опыт имплантации или протезирования?
Оставьте свой номер для персональной консультации

Этот сайт защищен reCAPTCHA и регулируется Политикой конфиденциальности и Условиями использования компании Google.

или нажмите Enter
Заявка отправлена
Скоро наш администратор свяжется с вами и подберёт вам удобное время для консультации
  • Главная
  • О нас
    • О клинике
    • Новости
    • СМИ о нас
  • Команда
  • Услуги и цены
    • Цены
    • Имплантация зубов
    • Протезирование зубов
    • Исправление прикуса
    • Лечение кариеса
    • Удаление зубов
    • Лечение дёсен
  • Пациентам
    • Акции
    • Отзывы
    • Результаты лечения
    • Лечение по ДМС
    • Документы и правовая информация
  • Контакты
Тюмень
ул. Арктическая 7/10
ул. Фармана Салманова 26
+7 (3452) 99-22-72
Будни 09:00 - 20:00
Выходные 09:00 - 18:00