Logo
Тюмень
ул. Арктическая 7/10
ул. Фармана Салманова 26
+7 (3452) 99-22-72
Будни 09:00 - 20:00
Выходные 09:00 - 18:00
Версия для
слабовидящих
  • Главная
  • О нас
    • О клинике
    • Новости
    • СМИ о нас
  • Команда
  • Услуги и цены
    • Цены
    • Имплантация зубов
    • Протезирование зубов
    • Исправление прикуса
    • Лечение кариеса
    • Удаление зубов
    • Лечение дёсен
  • Пациентам
    • Акции
    • Отзывы
    • Результаты лечения
    • Лечение по ДМС
    • Документы и правовая информация
  • Контакты
Logo
+7 (3452) 99-22-72
Будни 09:00 - 20:00
Выходные 09:00 - 18:00

Профессиональная гигиена полости рта: клинический случай удаления зубного камня и налёта за один визит

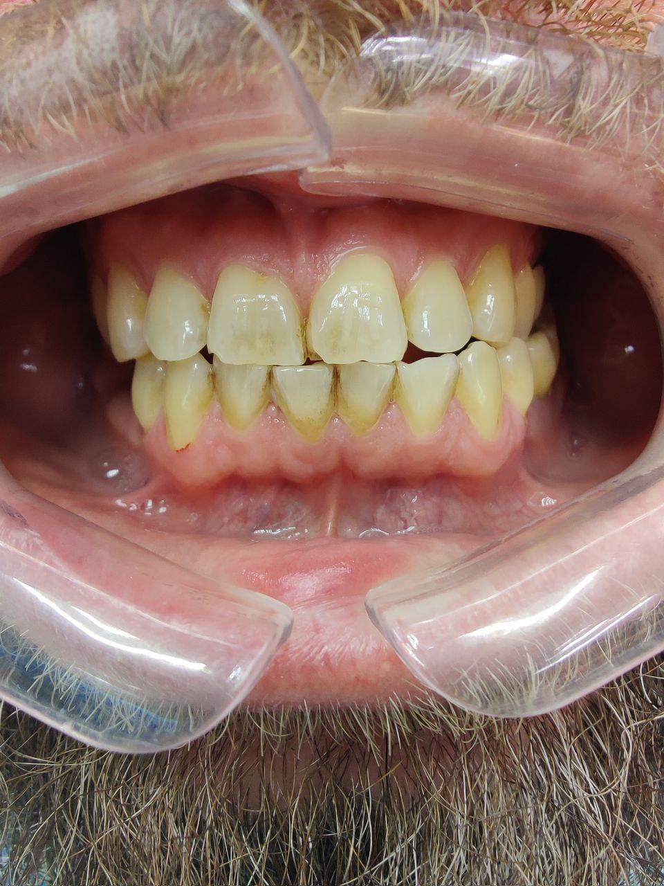
До
До
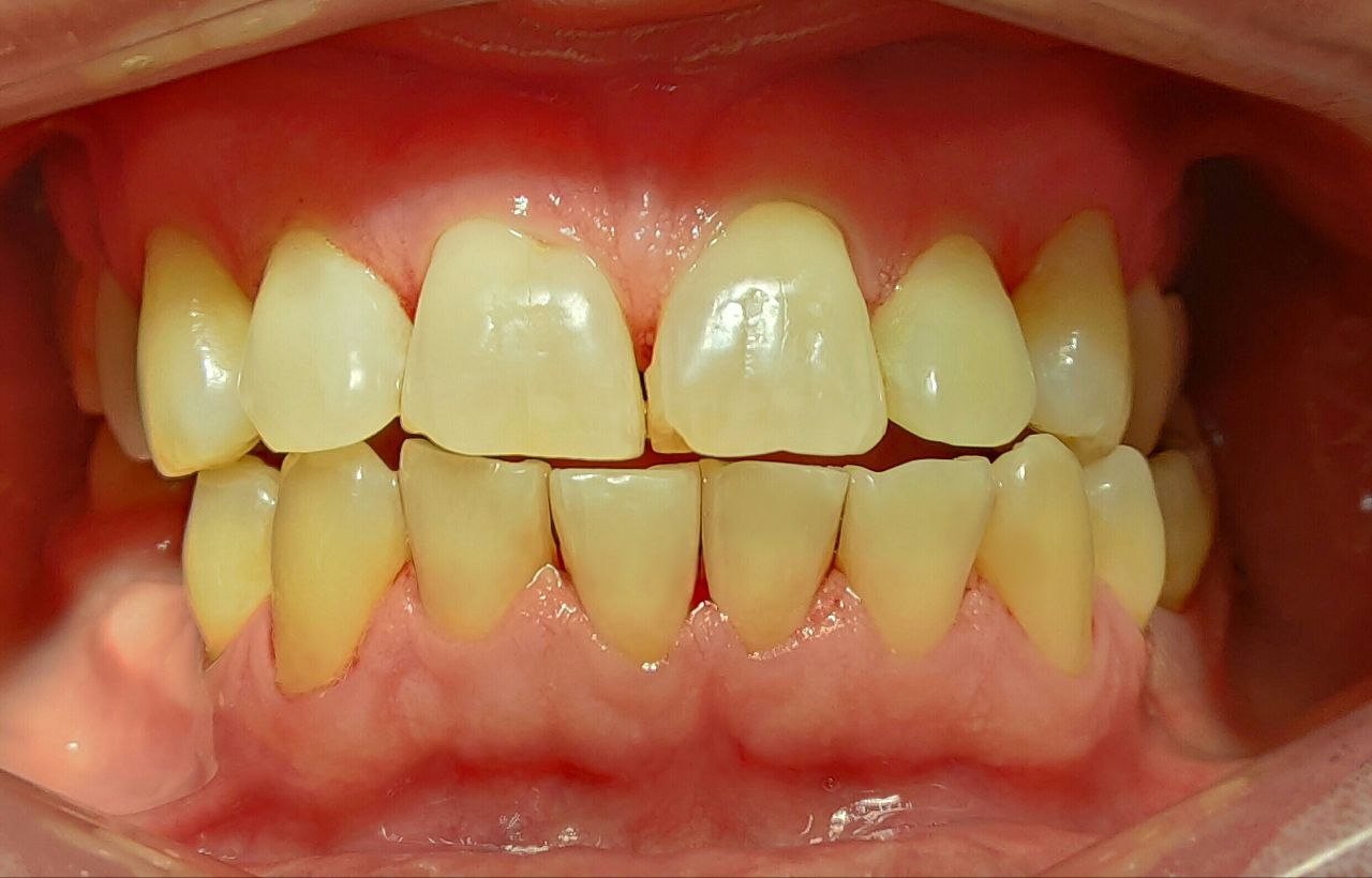
После
После
ИМЕЮТСЯ ПРОТИВОПОКАЗАНИЯ, НЕОБХОДИМА КОНСУЛЬТАЦИЯ СПЕЦИАЛИСТА

Клиническая ситуация

В семейную стоматологию «Забота» (Тюмень) обратился пациент со следующими жалобами:
  • неприятный запах изо рта, который сохранялся даже после тщательной чистки зубов;
  • потемнение эмали — зубы утратили естественный блеск, появился налёт;
  • чувствительность зубов — дискомфорт при употреблении горячих и холодных напитков;
  • общее ощущение «налёта» на зубах, которое не удалялось домашней щёткой.

Пациент отметил, что стал стесняться общения в коллективе, избегал близких разговоров и всё чаще прикрывал рот при улыбке.

«Я чистил зубы дважды в день, но налёт всё равно оставался. Запах изо рта мешал работать с людьми. Я думал,
что это уже не исправить».

Результаты осмотра

На консультации врач-стоматолог-терапевт провел осмотр полости рта и выявил:

Выявленная проблема
Клинические проявления
Наддесневой и поддесневой зубной камень
Плотные тёмные отложения у десны,
местами — под слизистой
Мягкий пигментированный налёт
Жёлто-коричневые наслоения на эмали
(от чая, кофе, курения)
Признаки гингивита
Покраснение и отёчность дёсен,
кровоточивость при зондировании
Гиперестезия (чувствительность)
Реакция на температурные раздражители
из-за истончения эмали и обнажения шеек зубов

Принятое решение: профессиональная гигиена полости рта

Пациенту была предложена и проведена комплексная процедура профессиональной гигиены, включающая несколько обязательных этапов.

Этап 1. Удаление зубного камня ультразвуком
С помощью ультразвукового скалера врач аккуратно разрушила и удалила твёрдые зубные отложения — как над десной, так и в неглубоких пародонтальных карманах. Процедура не травмирует эмаль и эффективно устраняет основную причину воспаления и неприятного запаха.

Этап 2. Снятие мягкого налёта методом Air Flow
Аппарат Air Flow с использованием водно-аэрозольной смеси с абразивным порошком (на основе глицина или бикарбоната натрия) удалил пигментированный налёт из труднодоступных мест — межзубных промежутков, фиссур, придесневой зоны. Зубы заметно посветлели и приобрели естественный блеск.

Этап 3. Полировка эмали специальными пастами
Финальная полировка с помощью щёточек и резиновых чашечек с мелкими абразивными пастами сделала поверхность зубов идеально гладкой. Это замедляет образование нового налёта и придаёт эмали зеркальный блеск.

Этап 4. Нанесение фторсодержащего геля (реминерализация)
Завершающий этап — аппликация фторгеля для укрепления эмали, снижения чувствительности и профилактики кариеса. Препарат насыщает поверхностный слой зубов ионами фтора и кальция.

После проведения профессиональной гигиены полости рта достигнуты следующие результаты:
  • Зубной камень и плотный налёт полностью удалены — как над-, так и поддесневые отложения.
  • Восстановлен естественный цвет зубов — исчезла жёлто-коричневая пигментация.
  • Устранён неприятный запах изо рта — удалена бактериальная среда, вызывающая галитоз.
  • Снижена чувствительность зубов — после реминерализации эмаль стала менее восприимчива к холоду и теплу.
  • Улучшено состояние дёсен — исчезли отёчность, покраснение и кровоточивость.

Пациент отметил: «Я не узнал свои зубы — они стали светлее и гладкие, как после полировки в автосервисе. Дышать стало свежо, и я перестал стесняться говорить с коллегами».
До
До
После
После

Хотите так же?

Данный клинический случай актуален для следующих категорий пациентов:
  • замечают налёт и потемнение зубов, несмотря на регулярную чистку;
  • страдают от неприятного запаха изо рта;
  • испытывают дискомфорт от горячей и холодной пищи;
  • давно не были на профессиональной гигиене (более 6–12 месяцев);
  • планируют отбеливание зубов и хотят получить максимальный результат.

Профессиональная гигиена полости рта — это не просто «чистка зубов», а комплексная лечебно-профилактическая процедура, которая:
  • устраняет источники воспаления и неприятного запаха;
  • возвращает зубам естественный цвет и гладкость;
  • снижает чувствительность;
  • создаёт основу для дальнейшего эстетического лечения (отбеливание, виниры, реставрации).

В данном кейсе благодаря грамотной работе врача-стоматолога и использованию современного оборудования (ультразвук, Air Flow, полировочные пасты, фторгель) пациент получил результат, превзошедший ожидания, — за один визит.

Часто задаваемые вопросы

Больно ли проводить профессиональную гигиену?

Процедура в целом безболезненна. При удалении поддесневого камня или выраженной чувствительности врач может использовать местную анестезию (гель или укол). Пациент из данного кейса обошёлся без анестезии.

Как часто нужно делать профессиональную гигиену?

Рекомендуемая периодичность — 2 раза в год (каждые 6 месяцев). При быстром образовании камня, курении, употреблении большого количества кофе/чая — каждые 3–4 месяца.

Можно ли отбелить зубы сразу после гигиены?

Да, профессиональная гигиена является обязательным первым этапом перед любым отбеливанием.

Почему после гигиены зубы стали менее чувствительными?

Врач нанёс фторсодержащий гель, который закрыл микротрещины эмали и насытил её минералами. Это нормальный и желательный эффект. В редких случаях, наоборот, может появиться временная чувствительность — она проходит в течение 2–3 дней.

Как долго сохраняется результат?

При правильной домашней гигиене зубы остаются гладкими и светлыми от 3 до 6 месяцев. Со временем налёт будет накапливаться — это физиологично. Регулярная профессиональная чистка поддерживает результат постоянно.

Как записаться к стоматологу или гигиенисту в Тюмени?

Вы можете:
  • позвонить по телефону: +7 (3452) 99-22-72;
  • оставить заявку на сайте стоматологии «Забота»;
  • прийти лично в клинику.

Уточните при записи, что хотите попасть к врачу на профессиональную гигиену полости рта.

Почему нам доверяют?

Мы гарантируем нашим пациентам экспертное лечение любой сложности. Наш приоритет — ваше здоровье и комфорт, поэтому мы используем передовые технологии для безболезненного результата.
И все это — по прозрачным и обоснованным ценам.

Заботимся
о каждом

Создаём атмосферу, в которой даже сложное лечение проходит легко

Бережём
ваше время

Администраторы курируют лечебный процесс каждого пациента и всегда напомнят о предстоящем визите

Делаем
прозрачные цены

Составляем детальный план лечения
с фиксированной стоимостью
до начала работы

Решаем всё
в одном месте

Не направляем пациентов в другие клиники: всё делаем своей командой врачей-стоматологов

Постоянно
учимся

Все врачи клиники обучались
в престижных университетах
и регулярно проходят курсы
повышения квалификации

Получаем
признание

Наш профессионализм
подтверждён наградами
и премиями высокого уровня

Запишитесь
на консультацию

Забота на Арктической
Тюмень
ул. Арктическая 7
Забота на Фармана Салманова
Тюмень
ул. Фармана Салманова 26
Будни 09:00-20:00
Выходные 09:00-18:00 
+7 (3452) 99-22-72
info@zabotastom.ru
ВКонтакте

Вступите в сообщество про здоровье зубов
и полости рта

Logo
  • Главная
  • О нас
    • СМИ о нас
    • Новости
  • Команда
  • Услуги и цены
    • Цены
    • Имплантация зубов
    • Протезирование зубов
    • Исправление прикуса
  • Акции
  • Пациентам
    • Отзывы
    • Результаты лечения
    • Документы и правовая информация
  • Контакты

ООО «СЦ Забота»  Юридический адрес: 625502, Тюменская область, Тюменский р-н, с Перевалово, Трактовая ул, д. 3, кв. 11
ИНН: 7224087089 ОГРН: 1237200007516 Лицензия № Л041-01107-72/00738799 от 16.10.2023

Обращаем Ваше внимание на то, что данный интернет-сайт носит исключительно информационный характер и ни при каких условиях информационные материалы и цены, размещенные на сайте, не являются публичной офертой, определяемой положениями Статьи 437 Гражданского кодекса РФ.

Мы используем куки-файлы и метрическую систему «Яндекс.Метрика» в целях улучшения и обеспечения работоспособности сайта. 
Персональные данные обрабатываются в соответствии с Политикой обработки персональных данных и Согласием на обработку персональных данных.
ИМЕЮТСЯ ПРОТИВОПОКАЗАНИЯ. ПОСОВЕТУЙТЕСЬ С ВРАЧОМ.
Сколько зубов вы хотите восстановить?
На какой челюсти отсутствуют зубы?
Какие у вас ожидания от имплантов?
Что для вас важнее при выборе импланта?
Есть ли у вас опыт имплантации или протезирования?
Оставьте свой номер для персональной консультации
Отправка формы
Подтвердите, что вы не робот
или нажмите Enter
Заявка отправлена
Скоро наш администратор свяжется с вами и подберёт вам удобное время для консультации
  • Главная
  • О нас
    • О клинике
    • Новости
    • СМИ о нас
  • Команда
  • Услуги и цены
    • Цены
    • Имплантация зубов
    • Протезирование зубов
    • Исправление прикуса
    • Лечение кариеса
    • Удаление зубов
    • Лечение дёсен
  • Пациентам
    • Акции
    • Отзывы
    • Результаты лечения
    • Лечение по ДМС
    • Документы и правовая информация
  • Контакты
Тюмень
ул. Арктическая 7/10
ул. Фармана Салманова 26
+7 (3452) 99-22-72
Будни 09:00 - 20:00
Выходные 09:00 - 18:00