Logo
Тюмень
ул. Арктическая 7/10
ул. Фармана Салманова 26
+7 (3452) 99-22-72
Будни 09:00 - 20:00
Выходные 09:00 - 18:00
Версия для
слабовидящих
  • Главная
  • О нас
    • О клинике
    • Новости
    • СМИ о нас
  • Команда
  • Услуги и цены
    • Цены
    • Имплантация зубов
    • Протезирование зубов
    • Исправление прикуса
    • Лечение дёсен
  • Пациентам
    • Акции
    • Отзывы
    • Результаты лечения
    • Лечение по ДМС
    • Документы и правовая информация
  • Контакты
Logo
+7 (3452) 99-22-72
Будни 09:00 - 20:00
Выходные 09:00 - 18:00

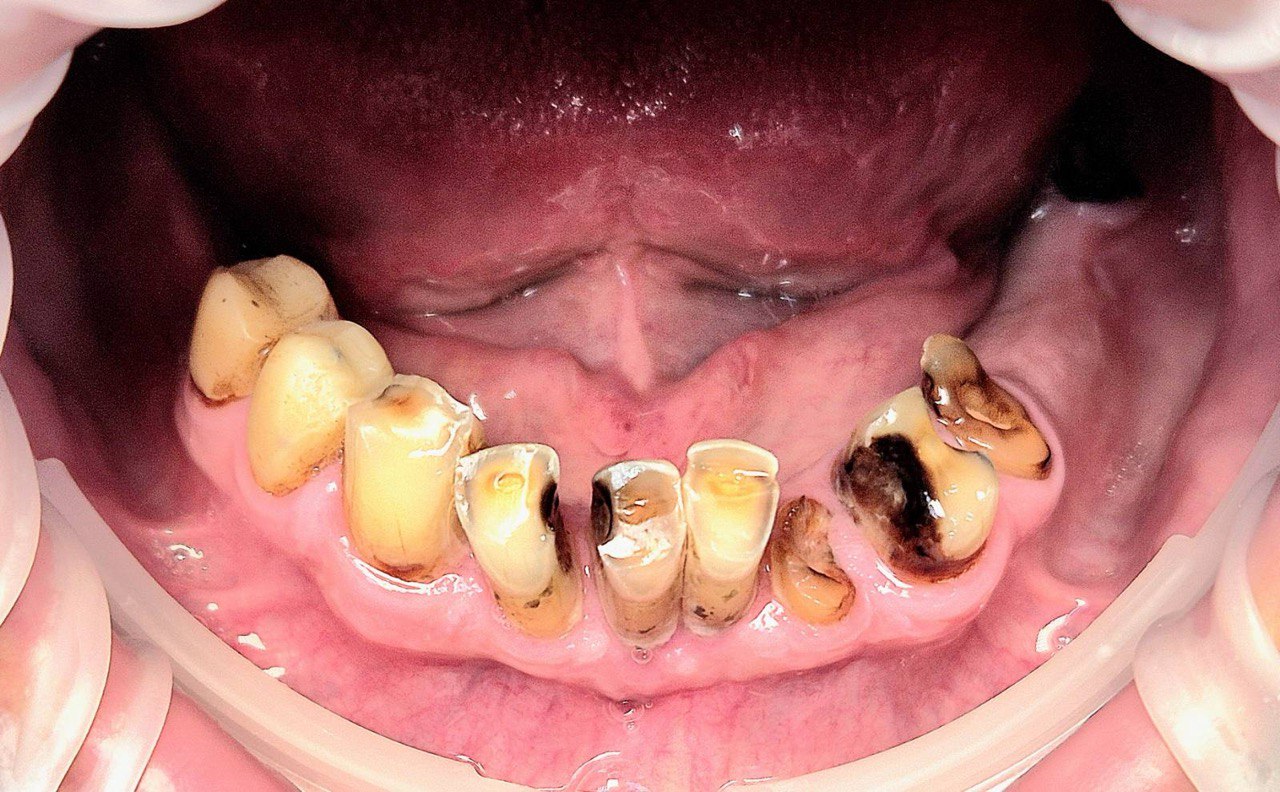
Нижняя челюсть на 4 имплантах (All‑on‑4): удаление несостоятельных зубов и восстановление полного зубного ряда за один день

До
До
После
После
ИМЕЮТСЯ ПРОТИВОПОКАЗАНИЯ, НЕОБХОДИМА КОНСУЛЬТАЦИЯ СПЕЦИАЛИСТА

Клиническая ситуация

Пациент обратился в стоматологию «Забота» (Тюмень) с жалобами на:
  • множественные разрушенные и подвижные зубы на нижней челюсти;
  • невозможность нормально пережёвывать пищу (даже мягкая пища вызывала боль);
  • хронический неприятный запах изо рта из-за скопления налёта и кариозных полостей;
  • эстетический дефект — отсутствие зубов в боковых отделах и разрушение передних;
  • психологический дискомфорт, стеснение при общении и улыбке.

Диагноз после комплексного обследования (осмотр + КТ):
  • множественная частичная адентия нижней челюсти;
  • зубы, подлежащие удалению (несостоятельные — с разрушением коронковой части более 70%, подвижностью III степени, периапикальными очагами инфекции);
  • достаточный объём костной ткани для установки 4 имплантатов по протоколу All‑on‑4 (при необходимости с наклонными
    имплантатами в дистальных отделах).

Почему выбран протокол All‑on‑4 для нижней челюсти

Протокол All‑on‑4 является оптимальным для нижней челюсти в следующих случаях:

Критерий
Обоснование
Полное или почти полное отсутствие зубов
Замещение всех зубов на 4 имплантатах
Невозможность установки имплантата в каждый дефект
Экономия костной ткани, отказ от костной пластики
Желание получить несъёмный протез в день операции
Немедленная нагрузка временным протезом
Ограниченный бюджет
Меньше имплантатов, чем All‑on‑6, но высокая надёжность

Результат лечения

Под местной анестезией выполнено удаление всех зубов нижней челюсти, признанных несостоятельными. Лунки после удаления очищены, при необходимости проведена их кюретаж (удаление грануляций).

Сразу после удаления, в ту же операцию, выполнена установка 4 имплантатов системы Dentium по протоколу All‑on‑4.

В день операции на установленные имплантаты зафиксирован временный акриловый протез. Функции временной конструкции:
  • эстетика и восстановление улыбки с первого дня;
  • возможность нормально пережёвывать пищу (в щадящем режиме);
  • защита операционной раны;
  • формирование контура десны;
  • психологический комфорт пациента (отсутствие беззубого периода).

В течение 3–6 месяцев происходит приживление имплантатов. Пациент пользуется временным мостом, соблюдая рекомендации по жевательной нагрузке (исключить очень твёрдую пищу).
После завершения остеоинтеграции временный мост заменён на постоянный несъёмный протез из диоксида циркония (премиальная эстетика и прочность).

По завершении всех этапов пациент получил:
  • полное восстановление зубного ряда нижней челюсти;
  • несъёмную конструкцию, не требующую снятия на ночь;
  • стабильность при жевании — 4 имплантата обеспечивают надёжную опору;
  • отсутствие хронической инфекции — все проблемные зубы удалены;
  • высокую эстетику — постоянный протез неотличим от натуральных зубов;
  • остановку атрофии костной ткани (имплантаты передают нагрузку на кость).

Пациент отметил: «Я снова могу есть мясо, яблоки и смеяться, не прикрывая рот. Спасибо врачам "Заботы"».

Хотите так же?

Кейс All‑on‑4 на нижней челюсти в стоматологии «Забота» (Тюмень) демонстрирует, как современный протокол имплантации позволяет:
  • удалить все несостоятельные зубы;
  • установить 4 имплантата;
  • зафиксировать временный мост в день операции;
  • после остеоинтеграции — постоянный протез.

Пациент получает полноценную, эстетичную, несъёмную улыбку без длительного ожидания и психологического дискомфорта. Метод All‑on‑4 является золотым стандартом для восстановления нижней челюсти при обширных дефектах зубного ряда.

Не откладывайте решение проблемы адентии. Чем дольше вы живёте без зубов или с разрушенными зубами, тем сильнее атрофируется кость и сложнее последующее лечение. Запишитесь на консультацию в стоматологию «Забота»
в Тюмени — ваша новая улыбка ждёт вас.

Часто задаваемые вопросы

Сколько имплантатов нужно для восстановления всей нижней челюсти?

По протоколу All‑on‑4 — всего 4 имплантата. Этого достаточно для надёжной фиксации несъёмного протеза на 12–14 зубов. При более тяжёлой атрофии или повышенных жевательных нагрузках может быть показан протокол All‑on‑6 (6 имплантатов).

Можно ли установить временный протез в день удаления зубов?

Да. Это ключевое преимущество All‑on‑4 — немедленная нагрузка. При условии достаточной первичной стабильности имплантатов
временный акриловый мост фиксируется в день операции.

Не выпадет ли временный протез во время еды?

Нет. Временный мост жёстко фиксируется на имплантатах винтами или цементом. Он не снимается пациентом самостоятельно.
Однако в период остеоинтеграции рекомендуется щадящая жевательная нагрузка (не грызть орехи, леденцы, кости).

Больно ли удалять все зубы и ставить имплантаты за один раз?

Операция проводится под местной анестезией. Пациент не чувствует боли. После операции возможны стандартные послеоперационные боли, которые купируются обезболивающими препаратами.

Как долго служат имплантаты и протез при All‑on‑4?

Имплантаты при правильном уходе служат пожизненно. Временный акриловый протез — 3–6 месяцев (только на период остеоинтеграции). Постоянный протез (цирконий, металлокерамика) — 10–15 лет, затем может потребоваться замена (как и любой протез).

Сколько стоит All‑on‑4 на нижней челюсти в стоматологии «Забота» (Тюмень)?

Стоимость складывается из:
  • удаления несостоятельных зубов;
  • установки 4 имплантатов (система Dentium / другая);
  • временного акрилового моста;
  • постоянного протеза (выбор материала);
  • анестезии, диагностики (КТ), послеоперационного наблюдения.
Точная цена рассчитывается на консультации после осмотра и КТ. Уточняйте по телефону +7 (3452) 99-22-72 или в форме на сайте.

Почему нам доверяют?

Мы гарантируем нашим пациентам экспертное лечение любой сложности. Наш приоритет — ваше здоровье и комфорт, поэтому мы используем передовые технологии для безболезненного результата.
И все это — по прозрачным и обоснованным ценам.

Заботимся
о каждом

Создаём атмосферу, в которой даже сложное лечение проходит легко

Бережём
ваше время

Администраторы курируют лечебный процесс каждого пациента и всегда напомнят о предстоящем визите

Делаем
прозрачные цены

Составляем детальный план лечения
с фиксированной стоимостью
до начала работы

Решаем всё
в одном месте

Не направляем пациентов в другие клиники: всё делаем своей командой врачей-стоматологов

Постоянно
учимся

Все врачи клиники обучались
в престижных университетах
и регулярно проходят курсы
повышения квалификации

Получаем
признание

Наш профессионализм
подтверждён наградами
и премиями высокого уровня

Запишитесь
на консультацию

Забота на Арктической
Тюмень
ул. Арктическая 7
Забота на Фармана Салманова
Тюмень
ул. Фармана Салманова 26
Будни 09:00-20:00
Выходные 09:00-18:00 
+7 (3452) 99-22-72
info@zabotastom.ru
ВКонтакте

Вступите в сообщество про здоровье зубов
и полости рта

Logo
  • Главная
  • О нас
    • СМИ о нас
    • Новости
  • Команда
  • Услуги и цены
    • Цены
    • Имплантация зубов
    • Протезирование зубов
    • Исправление прикуса
  • Акции
  • Пациентам
    • Отзывы
    • Результаты лечения
    • Документы и правовая информация
  • Контакты

ООО «СЦ Забота»  Юридический адрес: 625502, Тюменская область, Тюменский р-н, с Перевалово, Трактовая ул, д. 3, кв. 11
ИНН: 7224087089 ОГРН: 1237200007516 Лицензия № Л041-01107-72/00738799 от 16.10.2023

Обращаем Ваше внимание на то, что данный интернет-сайт носит исключительно информационный характер и ни при каких условиях информационные материалы и цены, размещенные на сайте, не являются публичной офертой, определяемой положениями Статьи 437 Гражданского кодекса РФ.

Мы используем куки-файлы и метрическую систему «Яндекс.Метрика» в целях улучшения и обеспечения работоспособности сайта. 
Персональные данные обрабатываются в соответствии с Политикой обработки персональных данных и Согласием на обработку персональных данных.
ИМЕЮТСЯ ПРОТИВОПОКАЗАНИЯ. ПОСОВЕТУЙТЕСЬ С ВРАЧОМ.
Сколько зубов вы хотите восстановить?
На какой челюсти отсутствуют зубы?
Какие у вас ожидания от имплантов?
Что для вас важнее при выборе импланта?
Есть ли у вас опыт имплантации или протезирования?
Оставьте свой номер для персональной консультации
Отправка формы
Подтвердите, что вы не робот
или нажмите Enter
Заявка отправлена
Скоро наш администратор свяжется с вами и подберёт вам удобное время для консультации
  • Главная
  • О нас
    • О клинике
    • Новости
    • СМИ о нас
  • Команда
  • Услуги и цены
    • Цены
    • Имплантация зубов
    • Протезирование зубов
    • Исправление прикуса
    • Лечение дёсен
  • Пациентам
    • Акции
    • Отзывы
    • Результаты лечения
    • Лечение по ДМС
    • Документы и правовая информация
  • Контакты
Тюмень
ул. Арктическая 7/10
ул. Фармана Салманова 26
+7 (3452) 99-22-72
Будни 09:00 - 20:00
Выходные 09:00 - 18:00