Logo

Тюмень
ул. Арктическая 7/10
ул. Фармана Салманова 26

+7 (3452) 99-22-72
Будни 09:00 - 20:00
Выходные 09:00 - 18:00

Версия для
слабовидящих

  • Главная
  • О нас
    • О клинике
    • Новости
    • СМИ о нас
  • Команда
  • Услуги и цены
    • Цены
    • Имплантация зубов
    • Протезирование зубов
    • Исправление прикуса
    • Лечение кариеса
    • Удаление зубов
    • Лечение дёсен
  • Пациентам
    • Акции
    • Отзывы
    • Результаты лечения
    • Лечение по ДМС
    • Документы и правовая информация
  • Контакты
Logo
+7 (3452) 99-22-72
Будни 09:00 - 20:00
Выходные 09:00 - 18:00

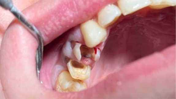
Сильное разрушение двух жевательных зубов:
как циркониевые коронки устранили травму слизистой и вернули возможность нормально жевать

До
До
После
После
ИМЕЮТСЯ ПРОТИВОПОКАЗАНИЯ, НЕОБХОДИМА КОНСУЛЬТАЦИЯ СПЕЦИАЛИСТА

Клиническая ситуация

Пациент обратился в стоматологию «Забота» со следующими жалобами:
  • постоянная травма щеки и слизистой острыми остатками разрушенных жевательных зубов
    (отмечались болезненные язвочки и эрозии на внутренней поверхности щеки);
  • невозможность нормально пережёвывать пищу — пациент избегал нагрузки на сторону с разрушенными зубами;
  • боль при надкусывании даже мягкой пищи;
  • психологический дискомфорт и страх, что зубы придётся удалять.

Анамнез: два жевательных зуба длительное время не лечились. Первоначальный кариес перешёл в глубокое разрушение коронковой части. Обращение к стоматологу откладывалось годами из‑за страха боли и финансовых ограничений.

Диагностика и выявленные проблемы

В результате клинического осмотра и рентгенологического исследования установлено:

Параметр
Выявленная патология
Степень разрушения
Более 50% коронковой части каждого зуба
Состояние краёв зуба  
Острые, неровные сколы, травмирующие мягкие ткани
Жизнеспособность пульпы  
Зубы депульпированы
Состояние корней  
Корни сохранны, периапикальных изменений нет
(зубы можно сохранить)
Жевательная нагрузка  
Резкое снижение, жевание преимущественно
на противоположной стороне

Осложнения, возникшие из‑за длительного отсутствия лечения
  1. Хроническая травма слизистой — острые края разрушенных зубов постоянно контактировали со щекой, вызывая болезненные эрозии, что повышало риск инфицирования мягких тканей.
  2. Функциональная перегрузка противоположной стороны — жевание только на здоровой стороне привело к стираемости зубов-антагонистов и повышенной нагрузке на височно-нижнечелюстной сустав.
  3. Прогрессирующее разрушение — с каждым месяцем зубы продолжали крошиться, приближаясь к уровню десны, что усложняло последующее восстановление.

Результат лечения

Пациенту предложен и реализован следующий план лечения:

Этап 1. Подготовка зубов
  • Выполнено качественное перелечивание каналов.
  • Создана культевая внутриканальная вкладка из стекловолокна для усиления опоры под коронку.

Этап 2. Препарирование (обточка) зубов
  • Устранены острые травмирующие края.
  • Зубам придана правильная форма культи с учётом толщины будущих коронок.
  • Все манипуляции проведены под местной анестезией — пациент не испытывал боли.

Этап 3. Изготовление и фиксация циркониевых коронок
  • Сняты слепки, изготовлены две индивидуальные коронки из диоксида циркония в зуботехнической лаборатории.
  • Коронки зафиксированы на подготовленные зубы с использованием адгезивного цемента двойного отверждения.

По завершении лечения пациент получил:
  • устранение травмы щеки и слизистой — острые края полностью покрыты гладкими коронками;
  • восстановление жевательной функции — возможность пережёвывать любую пищу без боли и ограничений;
  • сохранение собственных зубов — удаления удалось избежать;
  • комфорт в повседневной жизни — пациент перестал избегать нагрузки на протезированную сторону;
  • долгосрочный прогноз — при правильном уходе коронки прослужат 10–15 лет и более.

Пациент отметил, что впервые за несколько лет может спокойно есть мясо, овощи и даже твёрдые фрукты (яблоки, груши), не опасаясь боли или новой травмы щеки.

Хотите так же?

Сильное разрушение двух жевательных зубов с образованием острых травмирующих краёв — это не только эстетическая и функциональная проблема, но и прямая угроза здоровью слизистой оболочки полости рта. Длительное откладывание лечения приводит к хронической травме, нарушению жевания, перегрузке соседних зубов и риску удаления.

В данном кейсе пациенту удалось сохранить оба зуба и восстановить их циркониевыми коронками. Результат: полное исчезновение травмы щеки, возвращение возможности нормально жевать и высокий эстетический результат.

Если у вас есть разрушенные жевательные зубы с острыми краями — не ждите осложнений. Современная стоматология позволяет восстановить их коронками без боли и за приемлемое время.

Часто задаваемые вопросы

Можно ли было не ставить коронки, а просто «запломбировать» такие зубы?

Нет. При разрушении более 50–60% коронковой части пломба не будет держаться — она быстро выпадет или расколется. Единственный клинически обоснованный метод сохранения сильно разрушенного жевательного зуба — это искусственная коронка, которая покрывает зуб со всех сторон и принимает жевательную нагрузку на себя.

Как долго служат циркониевые коронки на жевательных зубах?

При правильном уходе, регулярной гигиене и отсутствии скрежета зубами и бруксизма — от 10 до 15 лет и более. Цирконий не окрашивается, не теряет прочности.

Можно ли жевать твёрдую пищу (орехи, сухари, яблоки) после фиксации коронок?

Да. Циркониевые коронки достаточно прочны для обычной пищи. Однако следует избегать экстремальных нагрузок
(раскусывание костей, леденцов, открывание бутылок зубами) — это может привести к сколу керамической облицовки
(если коронка не цельнолитая, а с керамическим напылением). Цельнолитые циркониевые коронки практически не скалываются.

Что будет, если и дальше не лечить разрушенные зубы с острыми краями?

Последствия:
  • хроническая травма щеки и языка (эрозии, язвы, боль);
  • полное разрушение зуба до уровня десны → зуб нельзя восстановить коронкой → только удаление;
  • потеря жевательной функции → проблемы с ЖКТ из‑за плохого пережёвывания пищи;
  • смещение зубов, изменение прикуса, боль в суставе.

Можно ли поставить циркониевые коронки на нижние жевательные зубы, если есть бруксизм (ночной скрежет)?

Да, но с осторожностью. При выраженном бруксизме рекомендуется изготовление толстостенных цельнолитых циркониевых коронок
и использование индивидуальной ночной капы для защиты от повышенного истирания.

Есть ли гарантия на циркониевые коронки?

Да, в стоматологии «Забота» предоставляется гарантия на коронки из диоксида циркония.
Гарантийные обязательства фиксируются в договоре.

Ортопедическое отделение

Восстанавливаем улыбку с помощью коронок, мостовидных и съёмных протезов. Создаём эстетичные виниры для безупречной улыбки. Используем современные материалы — металлокерамику, керамику, диоксид циркония.

Стоматолог-ортопед в Тюмени - В. Н. Попылькин. Занимается протезированием зубов: съемные протезы, мостовидные протезы, коронки и виниры. Циркониевые и металлокерамические зубные протезы

Попылькин
Виталий Николаевич 

Врач-стоматолог-ортопед

Опыт работы 21 год

Стоматолог-ортопед в Тюмени - И. А. Нижегородов. Занимается протезированием зубов: съемные протезы, мостовидные протезы, коронки и виниры. Циркониевые и металлокерамические зубные протезы

Нижегородов
Иван Александрович

Врач-стоматолог-ортопед

Опыт работы 2 года

Почему нам доверяют?

Мы гарантируем нашим пациентам экспертное лечение любой сложности. Наш приоритет — ваше здоровье и комфорт, поэтому мы используем передовые технологии для безболезненного результата.
И все это — по прозрачным и обоснованным ценам.

Заботимся
о каждом

Создаём атмосферу, в которой даже сложное лечение проходит легко

Врачи-стоматологи клиники Забота в Тюмени проводят лечебные манипуляции бережно и со вниманием к тревожным пациентам

Бережём
ваше время

Администраторы курируют лечебный процесс каждого пациента и всегда напомнят о предстоящем визите

Кураторы и администраторы стоматологии Забота в Тюмени координируют даты и время лечения пациентов, чтобы экономить время и проходить необходимые процедуры быстро и удобно

Делаем
прозрачные цены

Составляем детальный план лечения
с фиксированной стоимостью
до начала работы

Врачи стоматологии Забота в Тюмени составляет точные планы лечения и полной стоимостью до его начала, цена не станет неприятным сюрпризом в процессе процедур

Решаем всё
в одном месте

Не направляем пациентов в другие клиники: всё делаем своей командой врачей-стоматологов

В стоматологии Забота в Тюмени работают врачи всех основных специализаций в современной стоматологии, чтобы проводить лечение пациентов в одном месте, не направляя в разные клиники

Постоянно
учимся

Все врачи клиники обучались
в престижных университетах
и регулярно проходят курсы
повышения квалификации

Сотрудники ООО "СЦ Забота" проходят регулярные повышения квалификации, чтобы улучшать качество лечения пациентов и сервиса

Получаем
признание

Наш профессионализм
подтверждён наградами
и премиями высокого уровня

Стоматология Забота в Тюмени - это компания признанный лидер в сфере медицины Тюменской области, она неоднократно получает федеральные и городские премии и награды

Запишитесь
на консультацию

Администратор стоматологии Забота в Тюмени предложит удобную дату и время для записи к стоматологу

Этот сайт защищен reCAPTCHA и регулируется Политикой конфиденциальности и Условиями использования компании Google.

В 2026 году сеть стоматологий Забота в Тюмени вошла в рейтинг лучших взрослых и детских стоматологий Тюмени по версии журнала STARTSMILE TOP

Забота на Арктической

Тюмень
ул. Арктическая 7

Забота на Фармана Салманова

Тюмень
ул. Фармана Салманова 26

Будни 09:00-20:00
Выходные 09:00-18:00 

+7 (3452) 99-22-72

info@zabotastom.ru

Стоматолог-терапевт проводит лечение кариеса, пульпита и периодонтита в Тюмени
Экспертная пародонтология в Тюмени, инновационные методы лечения заболевания десен
Протезирование и имплантация для пенсионеров в Тюмени недорого
ВКонтакте

Вступите в сообщество про здоровье зубов
и полости рта

Logo
  • Главная
  • О нас
    • СМИ о нас
    • Новости
  • Команда
  • Услуги и цены
    • Цены
    • Имплантация зубов
    • Протезирование зубов
    • Исправление прикуса
  • Акции
  • Пациентам
    • Отзывы
    • Результаты лечения
    • Документы и правовая информация
  • Контакты

ООО «СЦ Забота»  Юридический адрес: 625502, Тюменская область, Тюменский р-н, с Перевалово, Трактовая ул, д. 3, кв. 11
ИНН: 7224087089 ОГРН: 1237200007516 Лицензия № Л041-01107-72/00738799 от 16.10.2023

Обращаем Ваше внимание на то, что данный интернет-сайт носит исключительно информационный характер и ни при каких условиях информационные материалы и цены, размещенные на сайте, не являются публичной офертой, определяемой положениями Статьи 437 Гражданского кодекса РФ.

Мы используем куки-файлы и метрическую систему «Яндекс.Метрика» в целях улучшения и обеспечения работоспособности сайта. 
Персональные данные обрабатываются в соответствии с Политикой обработки персональных данных и Согласием на обработку персональных данных.

ИМЕЮТСЯ ПРОТИВОПОКАЗАНИЯ. ПОСОВЕТУЙТЕСЬ С ВРАЧОМ.

Сколько зубов вы хотите восстановить?
На какой челюсти отсутствуют зубы?
Какие у вас ожидания от имплантов?
Что для вас важнее при выборе импланта?
Есть ли у вас опыт имплантации или протезирования?
Оставьте свой номер для персональной консультации

Этот сайт защищен reCAPTCHA и регулируется Политикой конфиденциальности и Условиями использования компании Google.

или нажмите Enter
Заявка отправлена
Скоро наш администратор свяжется с вами и подберёт вам удобное время для консультации
  • Главная
  • О нас
    • О клинике
    • Новости
    • СМИ о нас
  • Команда
  • Услуги и цены
    • Цены
    • Имплантация зубов
    • Протезирование зубов
    • Исправление прикуса
    • Лечение кариеса
    • Удаление зубов
    • Лечение дёсен
  • Пациентам
    • Акции
    • Отзывы
    • Результаты лечения
    • Лечение по ДМС
    • Документы и правовая информация
  • Контакты
Тюмень
ул. Арктическая 7/10
ул. Фармана Салманова 26
+7 (3452) 99-22-72
Будни 09:00 - 20:00
Выходные 09:00 - 18:00